Not all products or features are available in all markets.

  • Change country/language

    Looks like you’re in {} — you’re on the {} site.

    Cancel

    Country and language selected

    You are being redirected to the {} site. Products and services availability vary by country. Do you wish to continue?

    Continue
    Cancel

TrueFidelity

Pushing the science of image reconstruction further, TrueFidelity™ CT Images are a radical, next-generation improvement. This leap in image reconstruction elevates the vision of what you can achieve and offers unparalleled benefits for patients, along with the radiologists and technologists dedicated to their care.

truefidelity-ct-pdp-hero-ba-en

At a glance

Vision that pushes radiology further

TrueFidelity CT Images elevate what you can achieve with Deep Learning Image Reconstruction (DLIR).

Where Deep Learning does its learning matters

Our proprietary DLIR training reflects unmatched understanding of what successful DLIR requires.

Confidence. Not compromise

Experience that can help improve scan read times and fight radiologist fatigue.

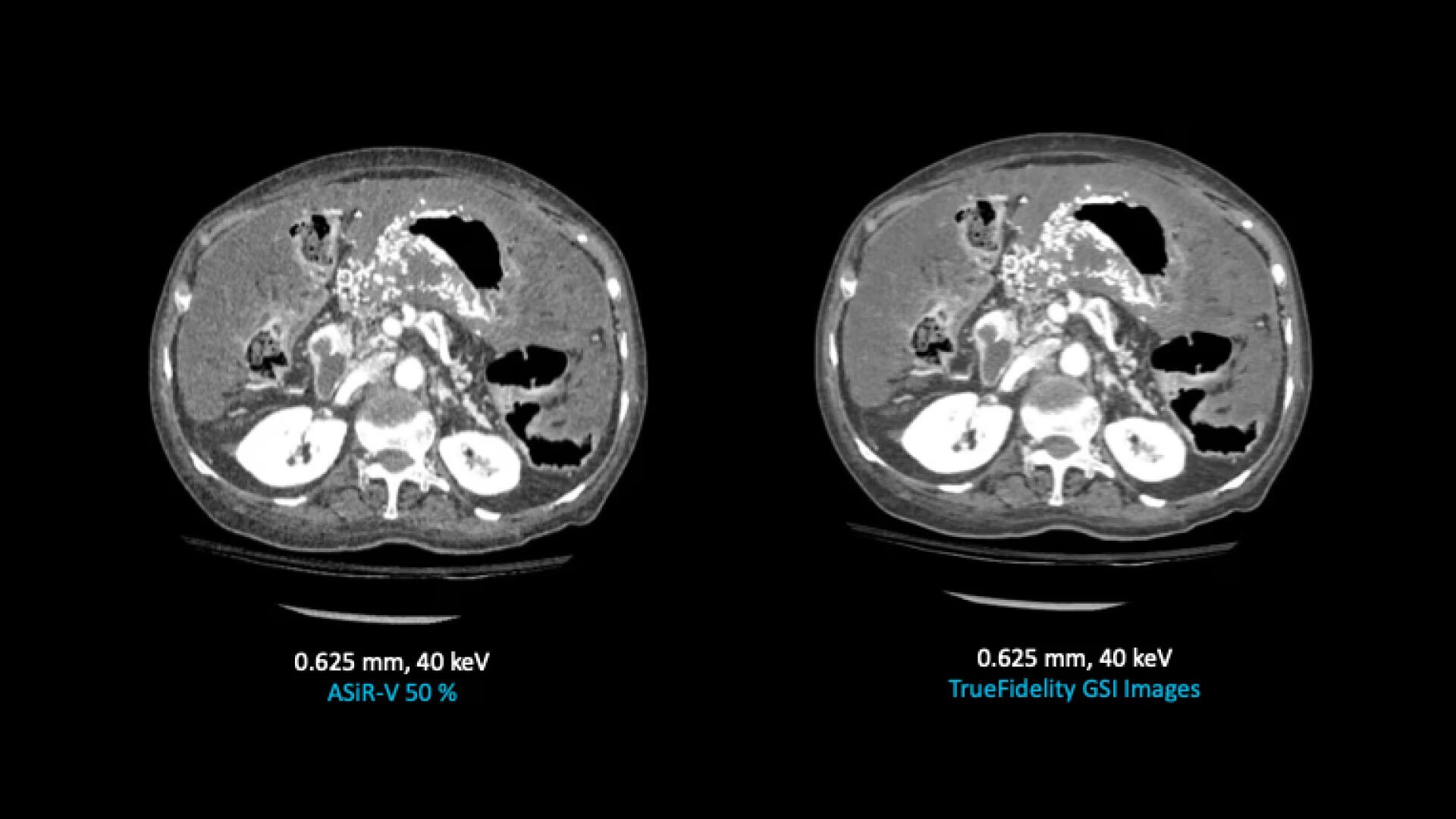
TrueFidelity for GSI now brings the potential to substantially reduce the image noise in all spectral image types

From virtual monochromatic images to material image pairs and virtual non-contrast images, with and without metal artifact reduction. Specifically, reducing the image noise inherent with low keV images resolves one of the traditional technical challenges in adopting more dual-energy protocols across the full patient population.
Features
Where deep learning does its learning matters.
A deep learning image reconstruction application is only as good as the training it receives. GE HealthCare trained its reconstruction engine using a library of thousands of low noise, filtered back projection (FBP) images considered the gold standard of image quality.
Designing
Creating layers of mathematical equations, a Deep Neural Network (DNN) that can handle millions of parameters.
truefidelity-designing-st-en
Training
Inputting a high noise sinogram through the DNN and comparing the output image to a low noise version of the same image. These two images are compared across multiple parameters such as image noise, low contrast resolution, low contrast detectability, noise texture etc. The output image reports the differences to the network via back propagation, which trains and strengthens the DNN based on the desired output.
truefidelity-training-st-en
Verifying
The network is required to reconstruct clinical and phantom cases it has never seen before, including extremely rare cases designed to push the network to its limits, confirming its robustness.
truefidelity-verifying-st-en

Have a question? We would love to hear from you.

Contact us

We're ready to support you in your moments that matter.

A problem occurred with your form Please see details highlighted below
Thank you for your inquiry.

We will be in touch soon.

Something went wrong

We will check and get back.

JB28979XX June 2024