Not all products or features are available in all markets.

  • Change country/language

    Looks like you’re in {} — you’re on the {} site.

    Cancel

    Country and language selected

    You are being redirected to the {} site. Products and services availability vary by country. Do you wish to continue?

    Continue
    Cancel
CardIQ Xpress 2.0 Reveal

Bringing integration and automation 
to your CT Cardiac post processing needs

At a glance

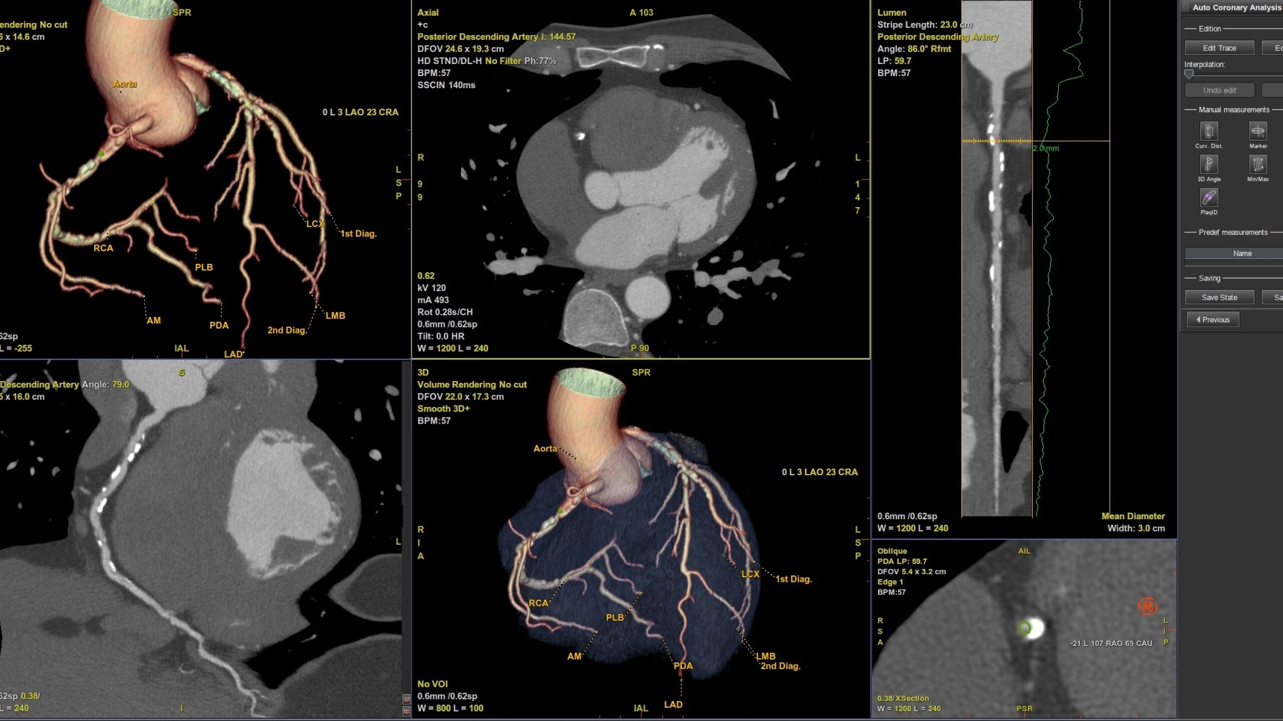
Automation

Automatically segments the coronary tree, tracks and labels the coronary arteries

 

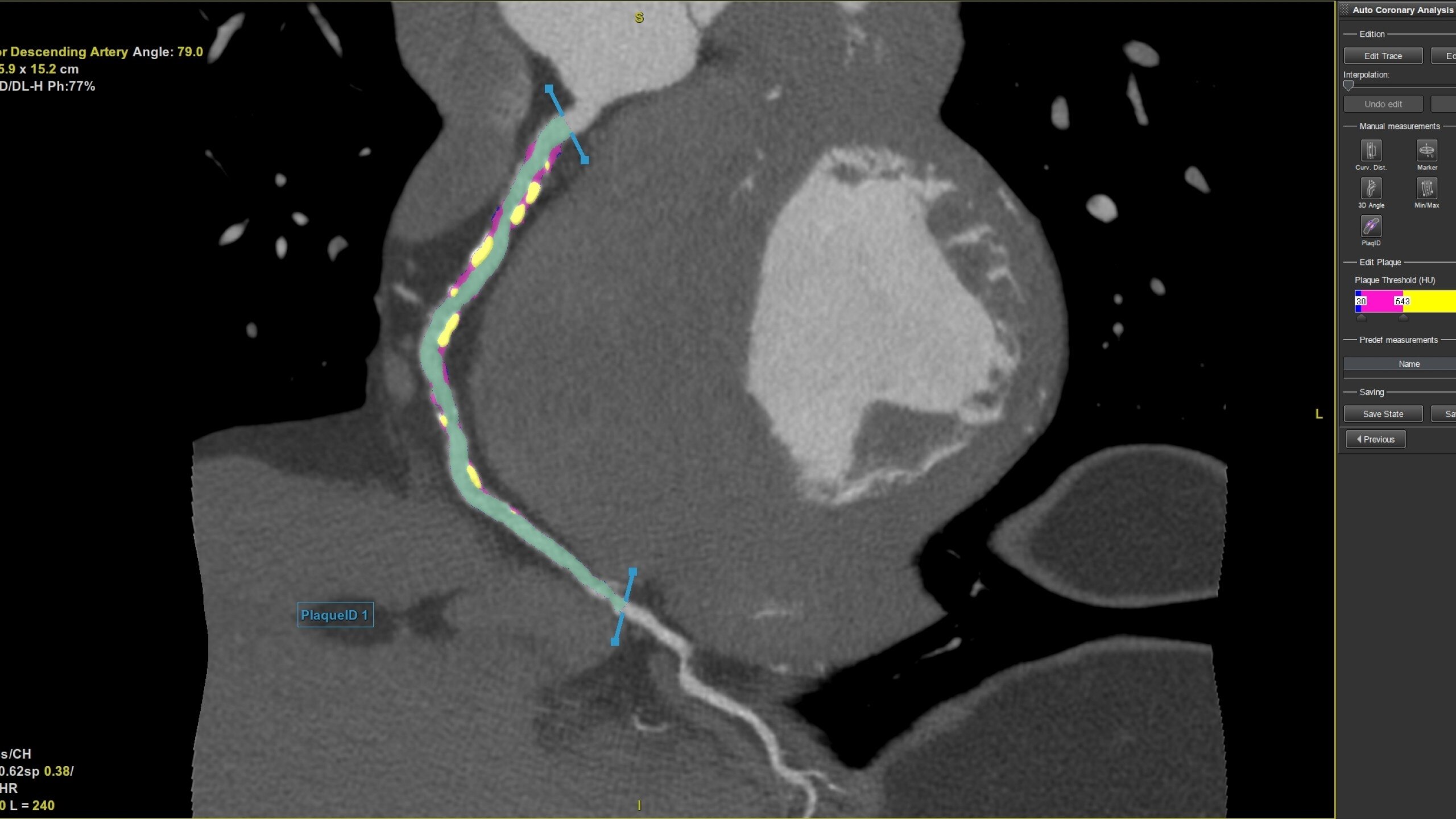
Coronary Plaque

Plaque ID tool assists in visualizing and quantifying plaque burden

 

Relative perfusion

Highlights and quantifies hypo-dense areas of myocardium

 
      Features
      • Pre-processing automatically recognizes cardiac
 datasets and performs all segmentations as data
 arrives on the system saving processing time
      • Auto Coronary analysis automatically segments the
 coronary tree, tracks and labels the coronary arteries
      • Three pre-defined orientation protocols for easy review
 of the coronary vessels and chambers
      • Relative perfusion color codes and quantifies percent of
 hypo-dense areas of myocardium with four selectable
 color maps and fusion overlays with the coronary tree 

      • Plaque ID provides volume measurements for four
 distinct Hounsfield ranges to aid with identification and
 visualization of coronary plaque
      • Automatic extraction of the left ventricle across all
 phases and the automatic detection of systole and
 diastole delivers calculated ejection fraction and stroke
 volumes
      cardiq-xpress-20-ci-en
      Get in touch

      Have a question? We would love to hear from you.

      Contact us

      We're ready to support you in your moments that matter.

      A problem occurred with your form Please see details highlighted below
      Thank you for your inquiry.

      We will be in touch soon.

      Something went wrong

      We will check and get back.

      JB29010XX May 2024