Not all products or features are available in all markets.

  • Change country/language

    Looks like you’re in {} — you’re on the {} site.

    Cancel

    Country and language selected

    You are being redirected to the {} site. Products and services availability vary by country. Do you wish to continue?

    Continue
    Cancel

Senographe Pristina™
Mammography system

Delivers superior diagnostic accuracy at the same low dose as a 2D FFDM, the lowest patient dose of all FDA approved DBT systems1.

senographe-pristina-banner-image-ba-en

At a glance

Optimized gantry design

97% were less anxious or not anxious at all thanks to gantry design2.

Greater comfort during exam

Less anxiety and more comfortable exam experience with patient-assisted compression device, Pristina Dueta2.

Lowest patient dose

Pristina mammography has the lowest patient dose of all FDA approved DBT systems3.

Fast quality control

Weekly quality control can be performed within 15 minutes4.

Senographe Pristina™ provides a better mammography experience2

Designed for women by women
The Pristina mammography system is expertly designed to enhance your everyday capabilities and make patients feel more comfortable. Pristina is engineered for a better patient experience along the entire breast care pathway, from screening and diagnosis to treatment planning and monitoring.
Clarity for radiologists
Low dose for diagnostic accuracy
Senographe Pristina is the only FDA approved 3D mammography that delivers at the same low dose as 2D FFDM, the lowest patient dose of all FDA approved systems2. The platform is upgradeable to advanced applications, including contrast-enhanced mammography and biopsy.
senographe-pristina-highlight1-ci-en
Clinical superiority
Exceptional image quality for diagnostic accuracy
Our engineering teams work passionately to develop solutions designed to achieve exceptional Image quality:
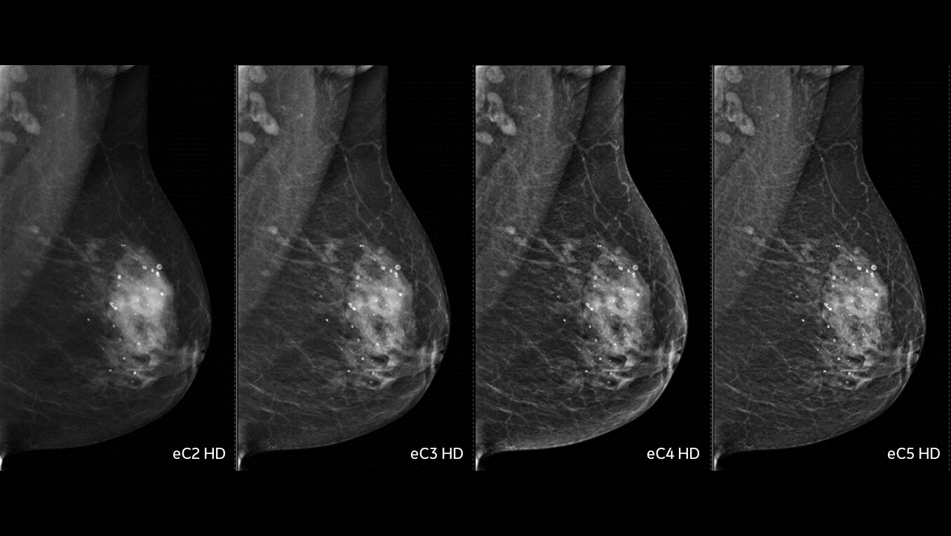
• 2D with eConstrast HD: the new processing improves the reading workflow by reducing the need to manually window our images and the radiologist confidence in our 2D image quality.
• 3D with Asir: reconstruction enables artifact management techniques that greatly reduces propagation of clips/microcalcs, at the expense of extra computation time (Asir is longer than FBP reconstruction.
• CEM with Nira: thanks to the new recombination algorithm, the impact of the artifacts is significantly reduced for all readers and may improve confidence in the diagnosis5.
senographe-pristina-highlight2-ci-en
Improved ergonomics
Reduce risks for technologists
With dedicated functions for easier patient positioning, Senographe Pristina is engineered to reduce physical strain to help prevent work-related injuries. Increased patient comfort during the exam can also make positioning easier.
senographe-pristina-highlight3-ci-en
Increased patient comfort
Pristina Dueta puts patients in control
Under the radiographer’s supervision and guidance, our technology allows patients to control compression for a more comfortable screening process.
senographe-pristina-highlight4-ci-en
Related products

Discover our breast care solutions

GE HealthCare continues to innovate and improve the mammography experience through Senographe Pristina and supporting products for imaging review, biopsy, and contrast-enhanced mammography.
pristina-dueta-product-tile-ci-en

Pristina Dueta™

Hand-held remote

With the Mammography Machine Technologist’s guidance, women can play an active role in determingtheir level of breast compression with the help of a hand-held remote.
senobright-tile-image-ci-en

SenoBright™ HD

Provide answers to your patients right away and help them avoid the agonizing wait they face when they get an inconclusive exam. SenoBright HD reduces the masking effect of breast tissue to reveal what matters.1 Don’t seek, see. Accelerate your ability to make a confident diagnosis.
pristina-bright-product-tile-en

Pristina Bright

Our comprehensive Contrast-Enhanced Mammography package.
JB35560XX
Get in touch

Have a question? We would like to hear from you.

Contact us

We're ready to support you in your moments that matter.

A problem occurred with your form Please see details highlighted below
Thank you for your inquiry.

We will be in touch soon.

Something went wrong

We will check and get back.

 

References
  1. Superior diagnostic accuracy demonstrated in a reader study comparing the ROC AUC of GE screening protocol (V-Preview + 3D CC/MLO with 3D in STD mode) to that of 2D FFDM alone. V-Preview is the 2D synthesized image generated by GE Seno Iris mammography software from GE DBT images. FDA PMA P130020. http://www.accessdata.fda.gov/scripts/cdrh/cfdocs/cfpma/pma.cfm?id=P130020.

  2. IPSOS Patient Satisfaction Study sponsored by GE HealthCare, conducted with 315 patients across 2 sites in Europe, out of which 160 were offered the patient-assisted compression option, February 2017.

  3. Comparison of patient dose delivered by FDA approved DBT devices as of February 2018 for a breast of average density, based on data presented in [1-2] and data on file. Device comparison includes GE SenoClaire, GE Senographe Pristina 3D in STD mode, Hologic Selenia Dimensions, Siemens Mammomat Inspiration, Fuji Aspire Cristalle [1. Bouwman, R. W. and al., et. 2015, Physics in Medicine & Biology, pp. 7893-7907; 2. NHSBSP Equipment Reports 1306, 1404, 1307, and on Fujifilm AMULET Innovality.]

  4. Per system. For Pristina 2D & 3D. Data on file. GE HealthCare 2020.

  5. 510(k) K211215. Patient motion 74%, skin fold 88%, halo 76% artifacts were reduced according to the 3 readers. Reader study performed by 3 MQSA qualified radiologists on 50 clinical images, comparing SenoBright HD with NIRA to current version.