Not all products or features are available in all markets.

  • Change country/language

    Looks like you’re in {} — you’re on the {} site.

    Cancel

    Country and language selected

    You are being redirected to the {} site. Products and services availability vary by country. Do you wish to continue?

    Continue
    Cancel
Clinical application
Dual Energy Subtraction

In less than a few seconds, Dual Energy Subtraction can help to eliminate obstructions from overlying bones while providing additional information on calcifications in chest studies.

At a glance

Quick and easy

One acquisition with two exposures at different energy levels takes just 160 ms

See more than in standard X-ray

Ability to separate bone image provides information on calcifications

Minimal dose

A Dual Energy Subtraction exam has ~100x less dose than a low-dose CT¹

Reduced patient movement

Rapid acquisition generates high-quality final images

Clinical diagnoses are complicated by overlapping anatomy
71M

Chest X-ray studies are performed annually in the United States²

26.4%

of the lung volume is obscured by other anatomy on frontal chest radiographs²

43%

of the lung area is obscured by other anatomy on frontal chest radiographs²

90%

of missed lung cancer cases relied on chest X-rays³

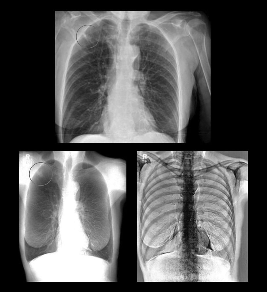
Features
See bone and soft tissue better
See more fast
Two acquisitions. Three images.

Rather than relying solely on algorithmic image processing, Dual Energy Subtraction acquires two exposures at different energy levels in less than 160 milliseconds. You can process and view the image as:

  • A standard radiographic image

  • An image with bones subtracted

  • An image of just the bones to highlight foreign objects or calcified structures

These images help you detect abnormalities that may have been obscured in a conventional radiograph.

dual-energy-subtraction-feature-hero-see-more-fast-st-en
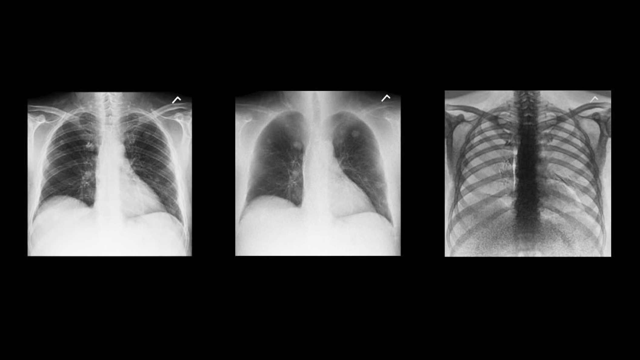
Consistent images
Harnessing AI for uncompromised image quality

Dual Energy Subtraction is delivered within the Helix™ advanced image processing chain, delivering improved consistency despite variations in exposure technique and challenging exam conditions.

 

dual-energy-subtraction-feature-hero-consistent-st-en
Related applications

Explore additional X-ray applications

volumerad-product-tile-en

VolumeRAD

When an X-ray is inconclusive, VolumeRAD™ provides additional information to assist radiologists with confident, diagnostic decision-making.
Related products

Explore our family of X-ray systems

definium-656-hd-og-image-en

Definium™ 656 HD

A comprehensive and versatile digital OTS x-ray system delivers advanced applications for precise views and greater clarity, simplified workflows, and enhanced imaging operations.
definium-tempo-product-tile-en

Definium™ Tempo

Definium Tempo, a fixed overhead tube suspension X-ray system is designed to simplify technologist’s workflow, improve consistency and diagnostic confidence.

Disclaimer
 

Dual Energy Subtraction is available for fixed radiography systems. Not available on all systems. Application version depends on the system. Contact your local GE HealthCare representative to learn about availability in your market.

 

 

References
 
  1. Crosbie PA, Gabe R, Simmonds I, et al. Yorkshire Lung Screening Trial (YLST): protocol for a randomised controlled trial to evaluate invitation to community-based low-dose CT screening for lung cancer versus usual care in a targeted population at risk. BMJ Open 2020; 10:e037075. https://bmjopen.bmj.com/content/10/9/e037075 [Accessed 31st August 2023].
  2. Chotas HG1, Ravin CE. Chest radiography: estimated lung volume and projected area obscured by the heart, mediastinum, and diaphragm. Radiology. 1994 Nov;193(2):403-4
  3. Missed lung cancer: when, where, and why? Annemilia del Ciello, Paola Franchi, Andrea Contegiacomo, Giuseppe Cicchetti, Lorenzo Bonomo, and Anna Rita Larici; 2017 Feb 16. doi: 10.5152/dir.2016.16187

 

Have a question about the Dual Energy Subtraction application?

Contact us

We're ready to support you in your moments that matter.

We’re sorry, a problem occurred with the form. Please try again.
Thank you for your inquiry.

We will be in touch soon.

Something went wrong

We will check and get back.

JB32033XX January 2025