Not all products or features are available in all markets.

  • Change country/language

    Looks like you’re in {} — you’re on the {} site.

    Cancel

    Country and language selected

    You are being redirected to the {} site. Products and services availability vary by country. Do you wish to continue?

    Continue
    Cancel

OEC 3D

A true 3D/2D intraoperative imaging C-arm for precise and efficient imaging every day.

oec3d-desktop-ba-en

At a glance

Expansive

19 cm3 CT-like images presented intraoperatively in minutes

Precise

Volume Viewer presents five 3D perspectives and advanced analysis tools

Efficient

Memory positions for quick position recall and light weight to move around room

Versatile

A 3D C-arm for every day:  from spinal fusion or orthopedic fractures to angiogram and stent placement

3D imaging every day

True 3D and 2D imaging flexibility. Transitioning quickly and easily provides greater efficiency and versatility for a wide range of clinical applications from spine and orthopedics to cardiac and vascular. Finally, a 3D C-arm that every surgical suite deserves.

2D imaging features

Live View

Minimize scout images when positioning C-arm with Live View camera and Active Guide memory relocation

Optimize

Experience Live Zoom with Cine and Fluoro as well as smooth cardiovascular images with enhanced Noise Reduction.

Versatility

Profile presets such as Cardiac, Bolus Chase, and Pediatric

Familiar

With OEC familiar interface, every day utilization is easy

Features
Precise and efficient
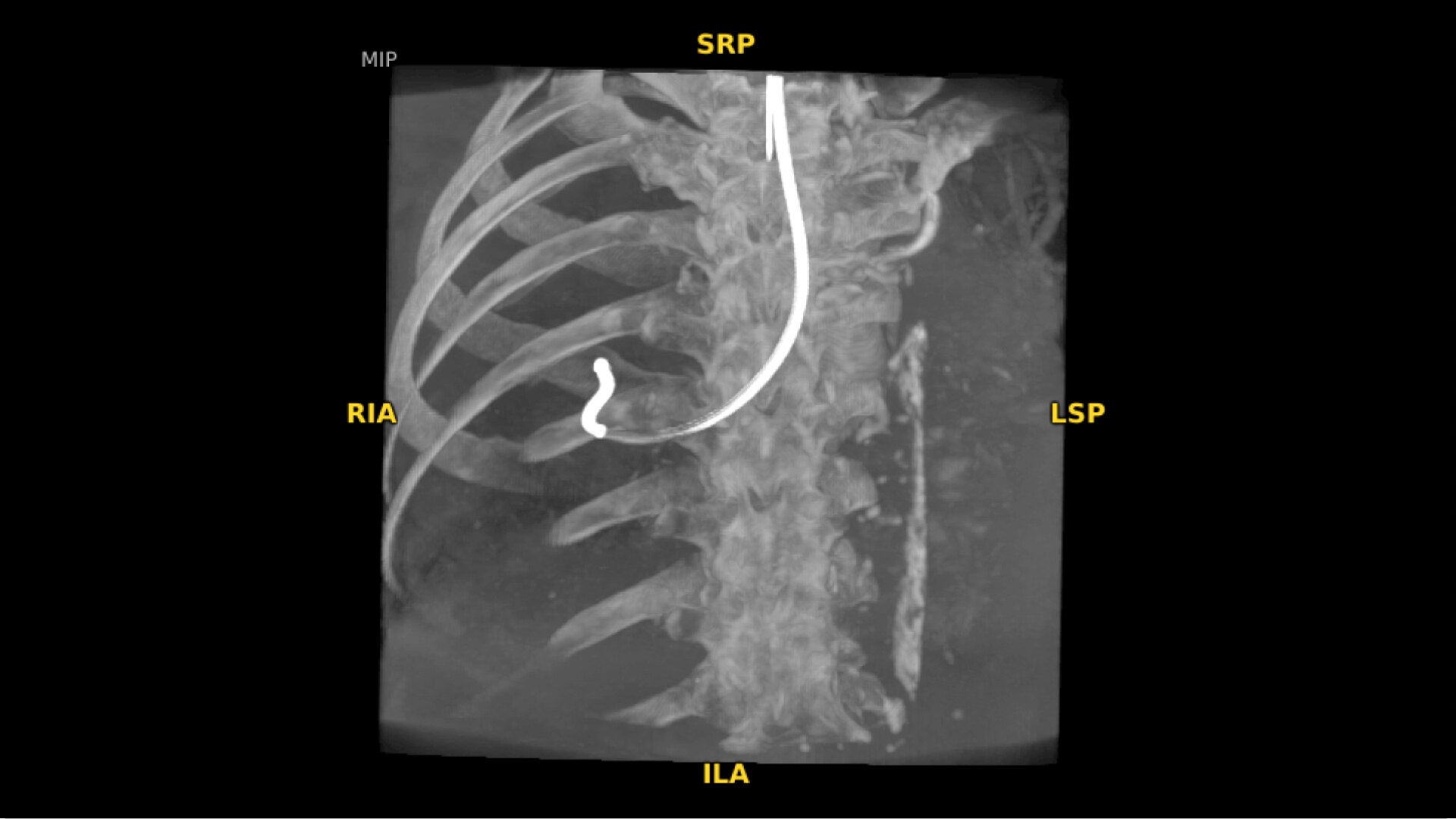
Expansive volumes
See more levels during a spinal fusion, or more of the pelvis or femur during an orthopedic procedure. With a 19 cm x 19 cm x 19 cm volume, OEC 3D captures a 67% greater volume than other 3D C-arms*.
expansive-efficient-new-ci-en
Precise analysis
Enhance intraoperative decision-making with visualization capabilities of Augmented Fluoroscopy in the OEC 3D Volume Viewer. Analyze five perspectives with 3D imaging tools including Multi-Oblique Mode, scrolling 512 slices, zoom, and more.
precise-analysis-new-st-en
Open interface
With an open platform, the OEC 3D can integrate seamlessly with navigation and robotics systems. The OEC Open dedicated port can export high-fidelity 3D data set to navigation or robotics system that accepts DICOM images.
open-interface-new-st-en
Product overview

Precise and Efficient Imaging

oec-3d-features-st-en1
Products

Discover other OEC C-arm products

oec-elite-cfd-product-tile-ci-en

OEC Elite CFD

Offers stunning image clarity and detail at low dose with enhancements for an easy and efficient experience.
oec-one-cfd-product-tile-en

OEC One CFD

Compact mobile C-arm delivers a Clear View of anatomy across procedural settings in a synchronized, all-in-one workflow.
oec-miniview-max-product-tile-en

OEC MiniView MAX

The OEC Miniview MAX enables surgeons to single-handedly capture clear, fast, and convenient images in surgical suites or clinics for greater efficiency every day.

 

 

**Compared to other 3D C-arm published specifications

 

 

Have a question? We would love to hear from you.

Contact us

We're ready to support you in your moments that matter.

We’re sorry, a problem occurred with the form. Please try again.
Thank you for your inquiry.

We will be in touch soon.

Something went wrong

We will check and get back.

JB16058XX June 2024