• Change country/language

    Looks like you’re in {} — you’re on the {} site.

    Cancel

    Country and language selected

    You are being redirected to the {} site. Products and services availability vary by country. Do you wish to continue?

    Continue
    Cancel
CardIQ Xpress 2.0 Reveal
Bringing integration and automation to your CT Cardiac post processing needs

At a glance

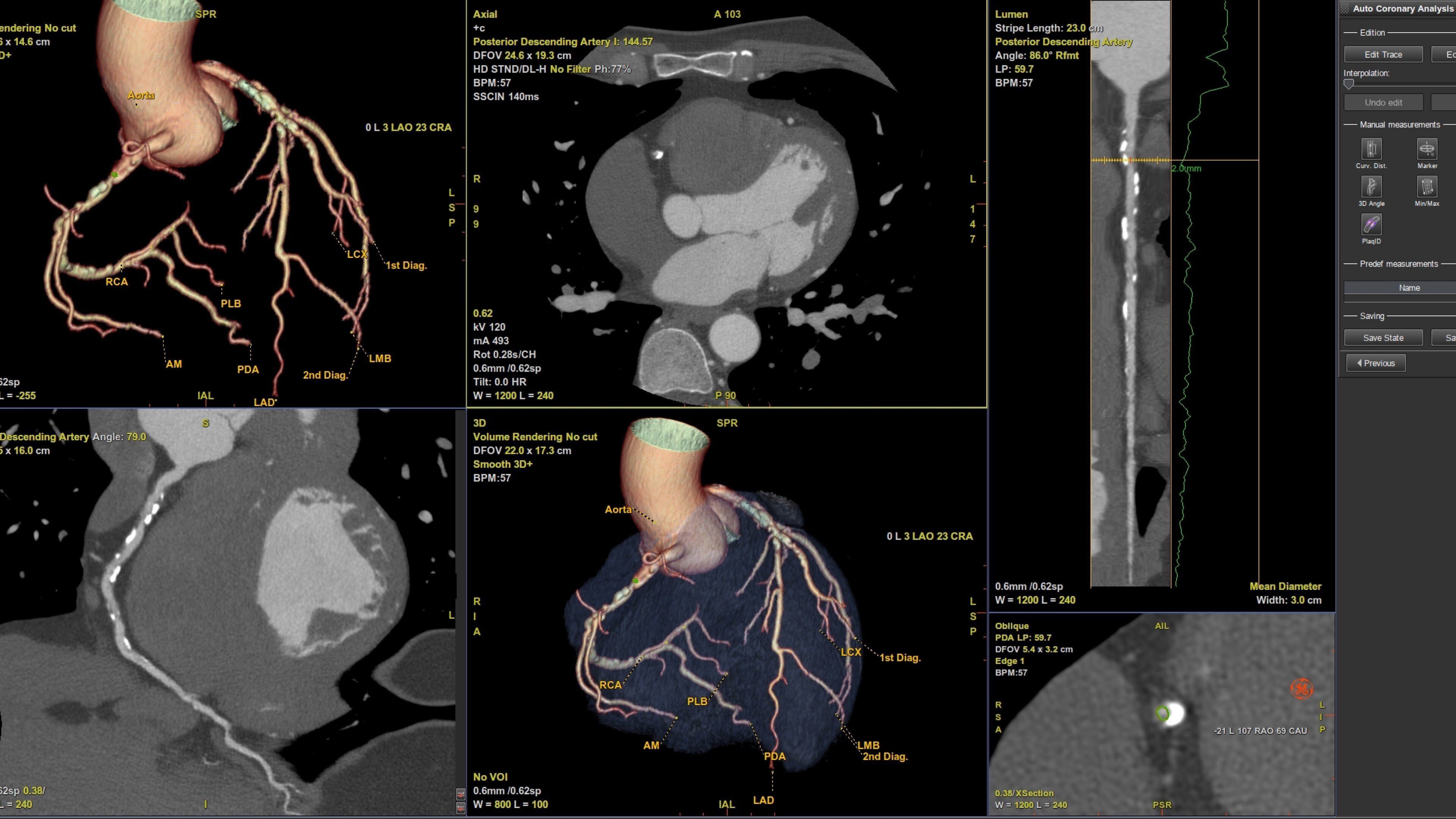
Automation

Automatically segments the coronary tree, tracks and labels the coronary arteries

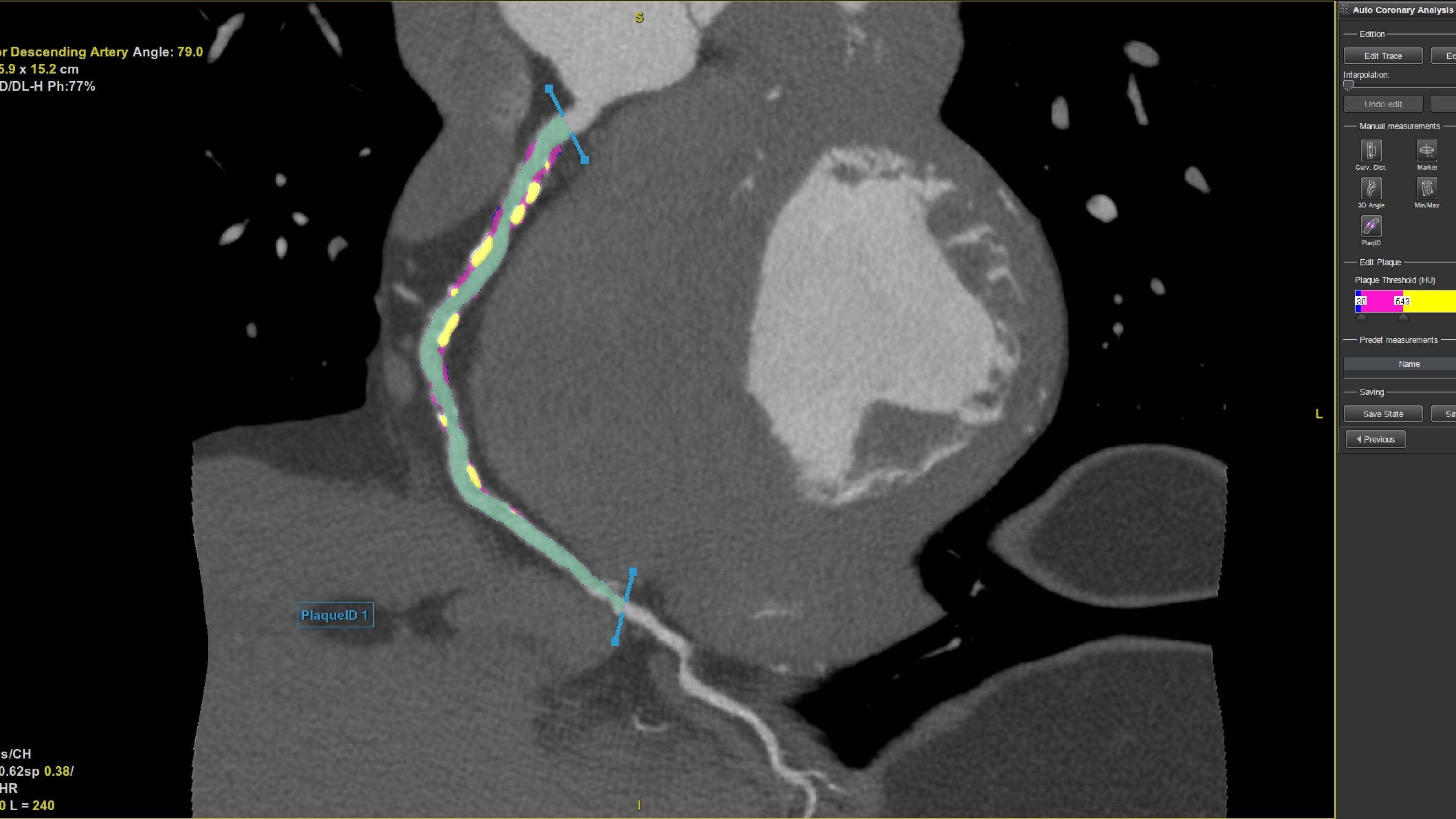
Coronary Plaque

Plaque ID tool assists in visualizing and quantifying plaque burden

Relative perfusion

Highlights and quantifies hypo-dense areas of myocardium

Features
  • Pre-processing automatically recognizes cardiac datasets and performs all segmentations as data arrives on the system saving processing time
  • Auto Coronary analysis automatically segments the coronary tree, tracks and labels the coronary arteries
  • Three pre-defined orientation protocols for easy review of the coronary vessels and chambers
  • Relative perfusion color codes and quantifies percent of hypo-dense areas of myocardium with four selectable color maps and fusion overlays with the coronary tree
  • Plaque ID provides volume measurements for four distinct Hounsfield ranges to aid with identification and visualization of coronary plaque
  • Automatic extraction of the left ventricle across all phases and the automatic detection of systole and diastole delivers calculated ejection fraction and stroke volumes
cardiqxpress20revealfeaturesheroimage
Get in touch

Have a question? We would love to hear from you.

We're ready to support you in your moments that matter.

Thank you!

We received your request for assistance.

A GE Healthcare specialist will be reaching out shortly.

Something went wrong

We will check and get back.

JB03545UK July 2024