• Change country/language

    Looks like you’re in {} — you’re on the {} site.

    Cancel

    Country and language selected

    You are being redirected to the {} site. Products and services availability vary by country. Do you wish to continue?

    Continue
    Cancel
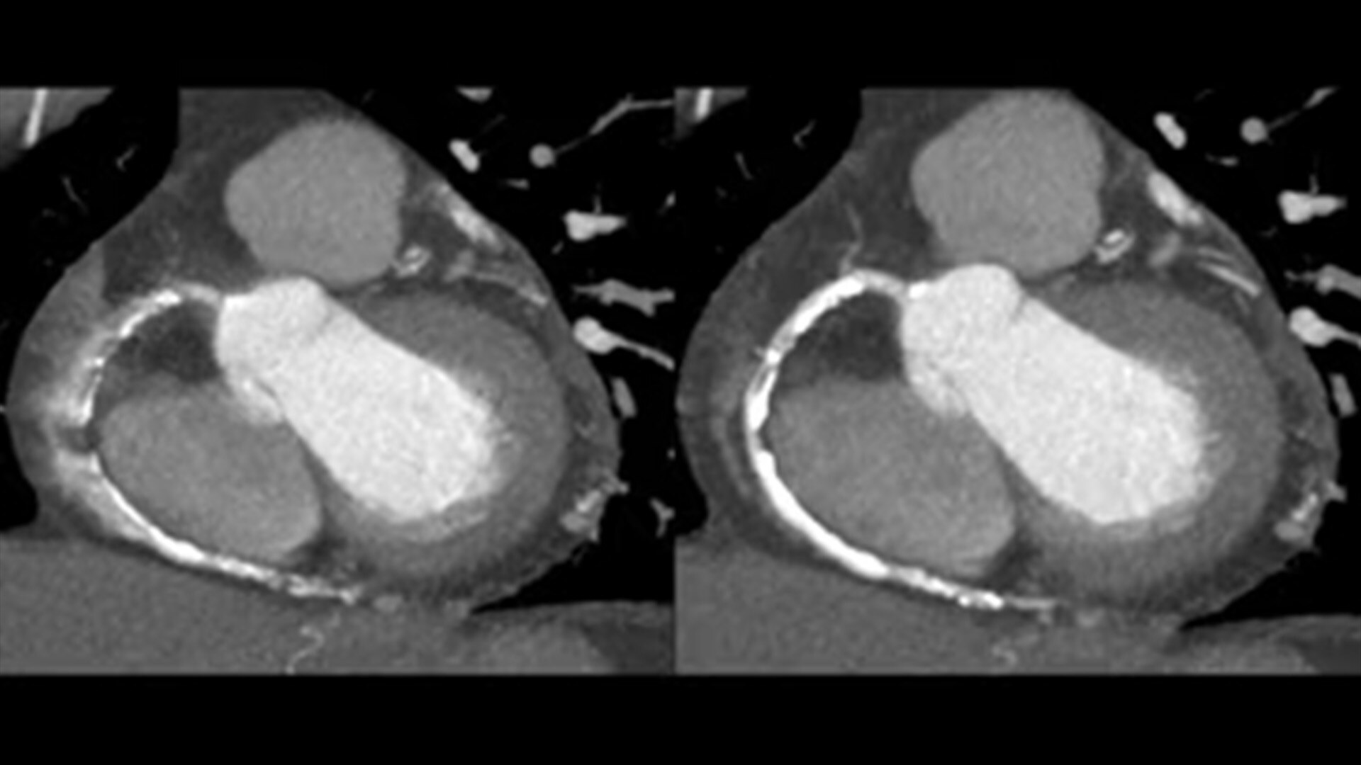
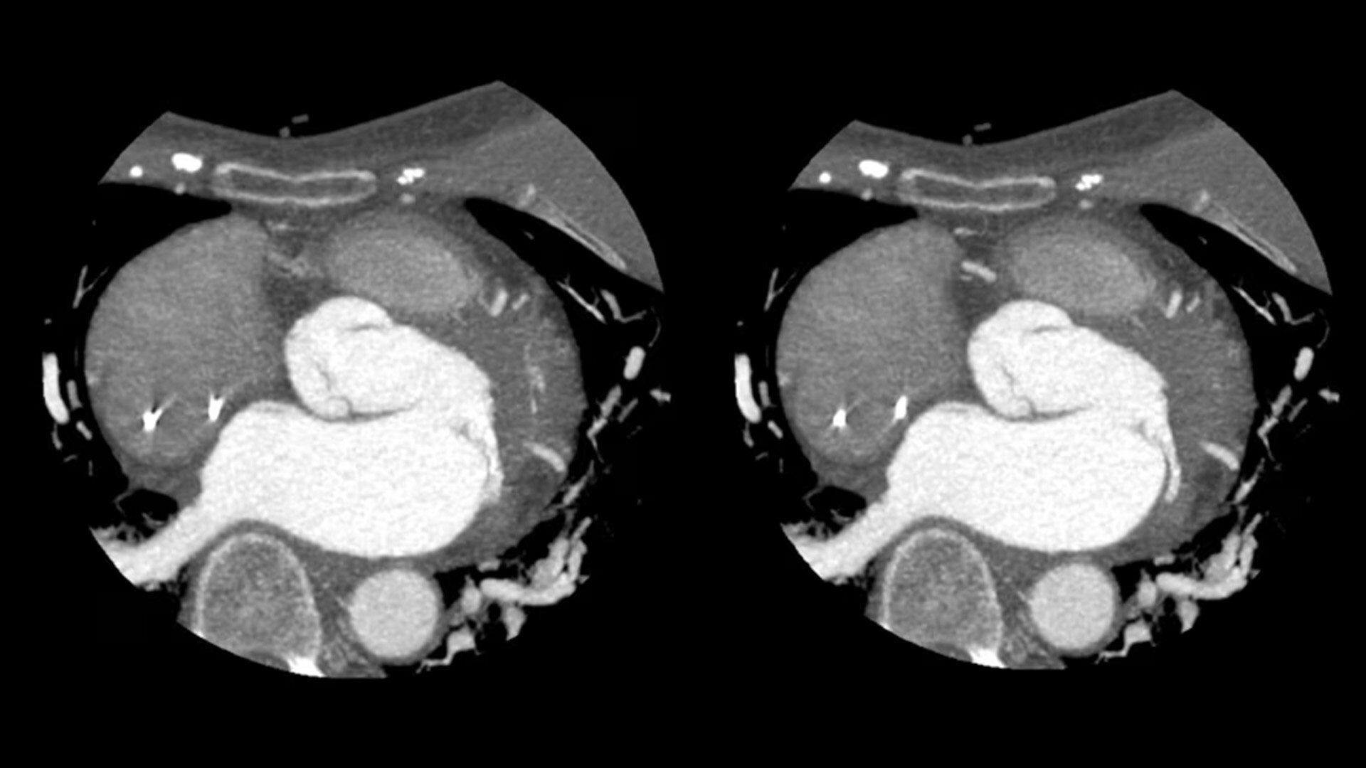
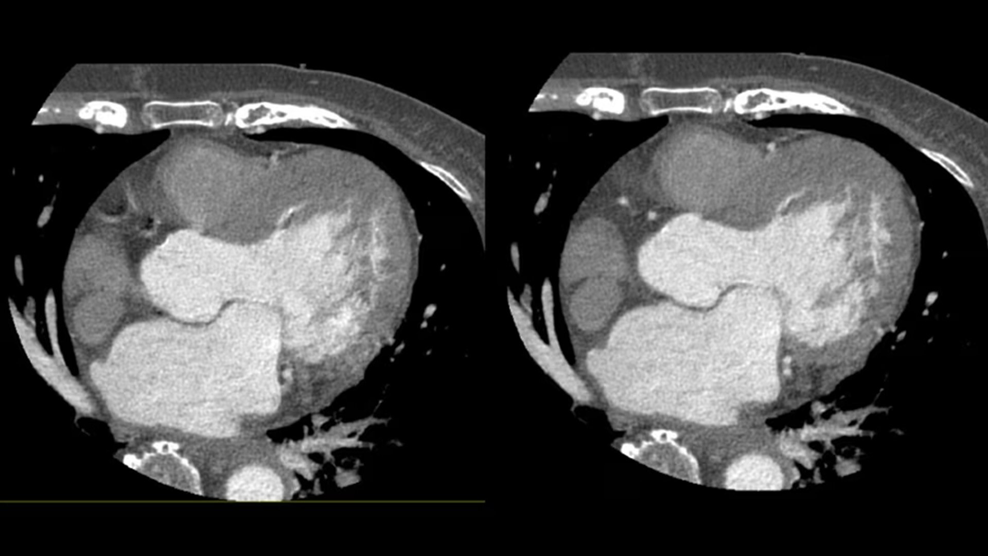
SnapShot Freeze 2
Intelligent and automated whole-heart motion correction for enhanced Cardiac CT imaging.

At a glance

Motion correction

6x reduction in motion artifacts1

Temporal resolution

19.5 msec effective temporal resolution at 0.23s/rotation gantry speed2

Automated

Whole-heart motion correction

References
  1. As demonstrated in mechanical and mathematical cardiac phantom testing
  2. SnapShot Freeze 2, in conjunction with 0.23 s/rotation gantry speed, provides a reduction in coronary motion artifacts that is equivalent to a 0.039 s/rotation equivalent gantry rotation speed with effective temporal resolution of 19.5 msec. As demonstrated in phantom testing using a commercially available motion phantom and also with a mathematical cardiac phantom with linear motion of variable velocity. The 0.039 s/rotation images are modeled without application of SnapShot Freeze 2. Results may vary in clinical applications.

Have a question? We’d love to hear from you.

We're ready to support you in your moments that matter.

Thank you!

We received your request for assistance.

A GE Healthcare specialist will be reaching out shortly.

Something went wrong

We will check and get back.

JB03637UK August 2024