• Change country/language

    Looks like you’re in {} — you’re on the {} site.

    Cancel

    Country and language selected

    You are being redirected to the {} site. Products and services availability vary by country. Do you wish to continue?

    Continue
    Cancel

Oncology MRI for SIGNA™

Oncology MR imaging techniques to capture anatomical and morphological data with robust tissue contrast, motion-insensitive and high temporal and spatial resolution for oncological assessment.

Vidyard video
Hero Banner Image

At a glance

Quantifiable

Provides quantitative and actionable information

Fast

Advanced acceleration techniques for fast and reliable exams

Consistent

Motion and distortion-reduced scans with high-resolution and contrast

Personalized

Comfortable, acoustic reduced imaging, added to any patient

Clinical Oncology

Oncological MRI imaging applications

Access and productivity
HyperWorks1040-x-585
Read case study ico-caret-right
AIR-x1040-x-585
Learn more ico-caret-right
AIRCoils1040-x-585
Read case study ico-caret-right
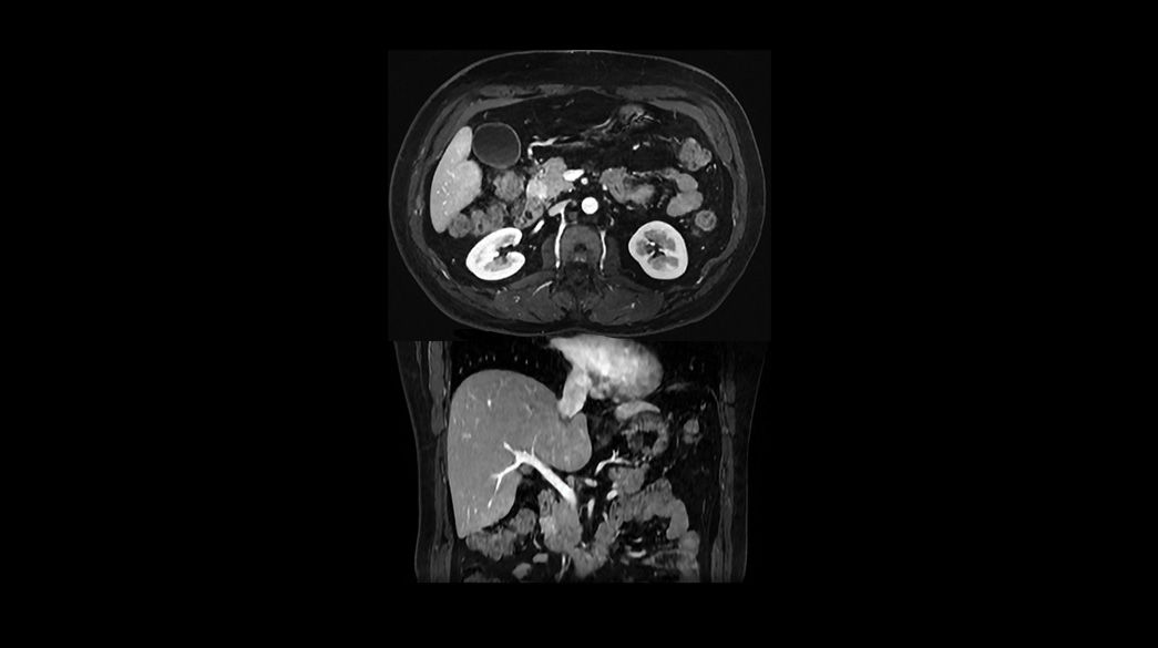
LAVAFlex1040-x-585
Read case study ico-caret-right
DISCOandDISCO-Flex1040-x-585
Read case study ico-caret-right
Diagnostic confidence and consistency
AIRRecon-DL1040-x-585
Learn more ico-caret-right
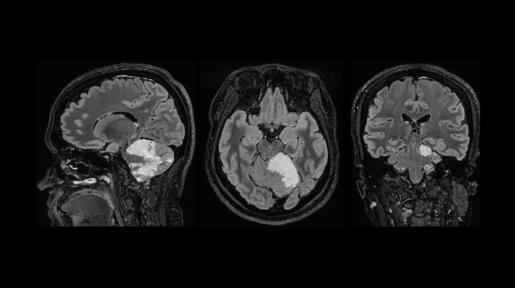
CubeandCube-Flex1040-x-585
PROPELLER-Compatible-with-AIRRecon-DL1040-x-585
Read case study ico-caret-right
PROMO-Compatible-with-AIRRecon-DL1040-x-585
Read case study ico-caret-right
FSE-Flex-Compatible-with-AIRRecon-DL1040-x-585
Read case study ico-caret-right
LAVA-Star-and-DISCO-Star1040-x-585
Read case study ico-caret-right
Precision and personalization
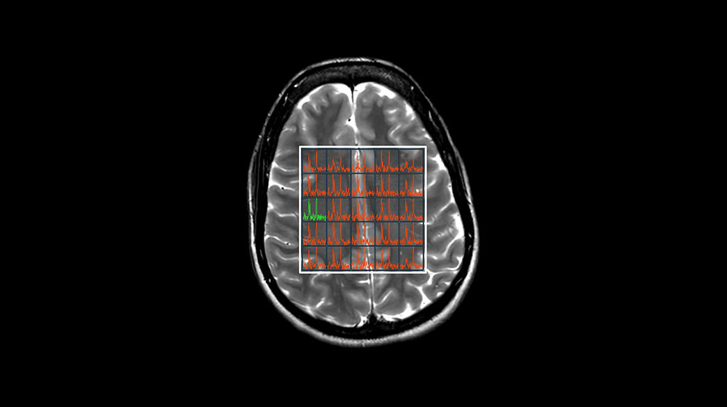
MR-Spectroscopy1040-x-585
Read case study ico-caret-right
3D-Arterial-Spin-Labeling3DSpin1040-x-585
Read case study ico-caret-right
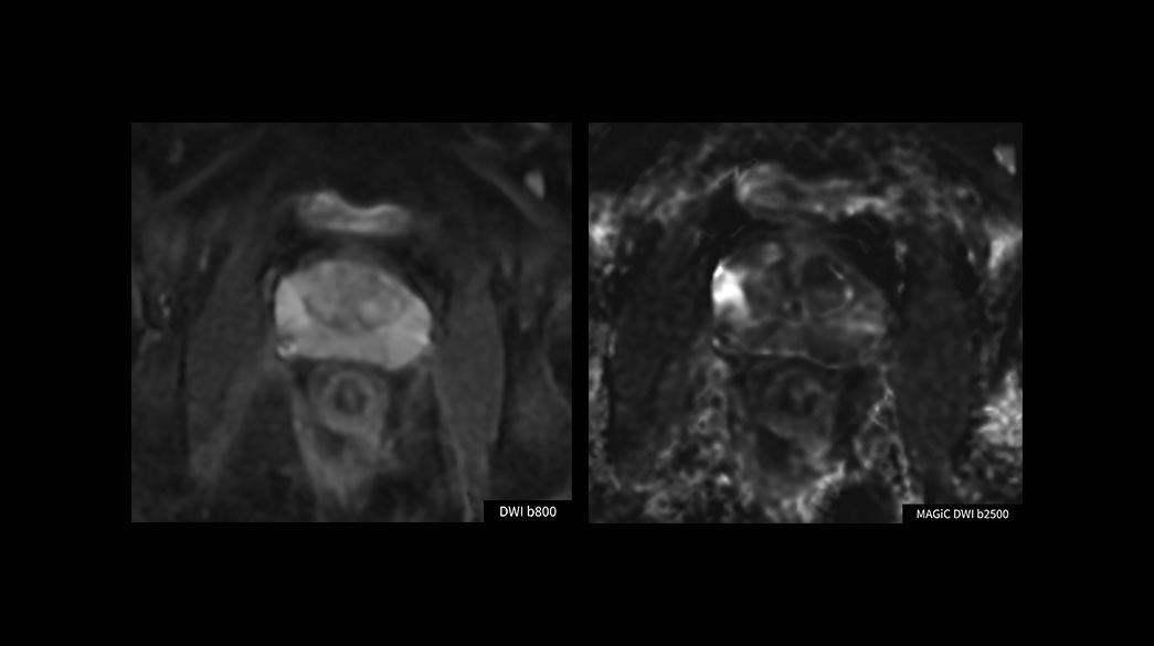
Advanced-DWI1040-x-585
Read case study ico-caret-right
MR-Advanced-Visualization1040-x-585
GenIQ1040-x-585
Watch video ico-caret-right
PROView-DL1040-x-585
Read case study ico-caret-right
BreView1040-x-585
Radiation Oncology
MRI-Planner1040-x-585
AIR-RT-Coils-suite1040-x-585

MRI products that go beyond

AIR Recon DL listing670

MR image reconstruction with AIR™ Recon DL

AIR™ Recon DL has revolutionized MR imaging with deep-learning based image reconstruction increased image quality, reduced scan time and improved SNR.
AIR-Coils-content

AIR™ Coils for MRI

With overlapping, ultra-light, flexible coil elements at their heart, AIR™ Coils deliver an MRI experience that gets closer to your patient.
product-product-categories-magnetic-resonance-imaging-35t-mr product_thumbnails_236x133_petmr.jpg

SIGNA™ PET/MR with QuantWorks™* 60cm

Introducing SIGNA PET/MR with QuantWorks. Built with pioneering TOF and integrated with a 3.0T MR, its impressive quantitative accuracy and high count rate combined with innovative Q.Clear reconstruction delivers 2x improvement in image quality.

Have a question? We would love to hear from you.

We're ready to support you in your moments that matter.

Thank you!

We received your request for assistance.

A GE Healthcare specialist will be reaching out shortly.

Something went wrong

We will check and get back.

JB03822UK October 2024