VolumeRAD for orthopedic practices
"We're saving the doctor time, we're saving the patient time, we're getting to the diagnoses more quickly, more effectively"
David E. Quinn, M.D., Board Certified Orthopedic Surgeon at the Capital Region Orthopaedics, Albany, NY.
Today orthopedic specialists rely on standard radiography for diagnosing skeletal trauma, monitoring bone union, and evaluating the success of surgical interventions.
Advanced medical imaging is often ordered for complex cases that radiography cannot solve. These additional imaging modalities may result in higher radiation exposure, higher imaging costs, and a delay in diagnosis & treatment that could also mean more anxiety and discomfort for the patient. VolumeRAD digital tomosynthesis can be used to detect and monitor complex fractures and implants whilst being competitive when compared to other imaging modalities on radiation dose, workflow and economics.
WATCH VIRTUAL PANEL DISCUSSION
Additional Webinars:
David E.Quinn, M.D.
Board Certified Orthopaedic Surgeon.
Capital Regional Orthopaedics, Albany, NY
Learn more with this complimentary webinar on how one of New England's largest orthopedic centers, has implemented VolumeRAD Digital Tomosynthesis to bring advanced volumetric imaging capability into their fixed radiography suite. They are successfully resolving suspicious x-rays with a cost-effective technology that provides diagnostic confidence "here and now", with minimal added radiation.
- See how digital tomosynthesis compares to other imaging modalities on
radiation dose, workflow and economics - Review clinical cases where VolumeRAD is used to detect and monitor
complex fractures and implants
WATCH ADDITIONAL WEBINAR
Virtual panel discussion:
Orthopedic Applications of VolumeRAD Digital Tomosynthesis: In this virtual panel discussion and clinical case review, learn how a top academic department of orthopedic surgery and a leading orthopedic center in the US are using GE's VolumeRAD Digital Tomosynthesis in their practice.
WATCH THE PANEL DISCUSSION
Panelists:

John A. Carrino, M.D., MPH
Vice Chairman of Radiology, Department of Radiology and Imaging at the Hospital of Special Surgery in New York, NY leads the panel.

Samir Mehta, M.D.,
Chief of Orthopaedic Trauma & Fracture Service and Assistant Professor of Orthopaedic Surgery at the University of Pennsylvania, presents 2 fracture cases that involve hardware.
"What we can get with advanced imaging is an ability to understand our fracture pattern when it's out of plane. VolumeRAD really does this very well"
"We actually have little signs up reminding us, Don't forget about getting a tomo"
Watch the case review

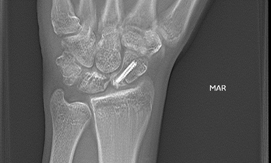
David E. Quinn, M.D.,
Board Certified Orthopedic Surgeon at the Capital Region Orthopaedics, Albany, NY, discusses three upper extremity cases.
"As orthopedic surgeons, we're trying answer some very simple questions especially with respect to fracture care ... Is there a problem? Does the patient need an operation or is it indicated? Has it been done properly? Is the problem resolved? I've found that digital tomosynthesis helps answer these questions in a substantial percentage of cases with minimal risk and minimal expense."
Watch the case review

John Sabol, Ph.D.,
Chief Scientist, GE Healthcare Global Research explains the physics behind the modality and provides a dose comparison of VolumeRAD vs plain X-rays and CT.
Watch the Q&A