• Change country/language

    Looks like you’re in {} — you’re on the {} site.

    Cancel

    Country and language selected

    You are being redirected to the {} site. Products and services availability vary by country. Do you wish to continue?

    Continue
    Cancel
cardiac-hero-desktop

C-arms for Cardiac Imaging

Experience excellent imaging in complex interventional cardiac procedures with OEC premium C-arms.

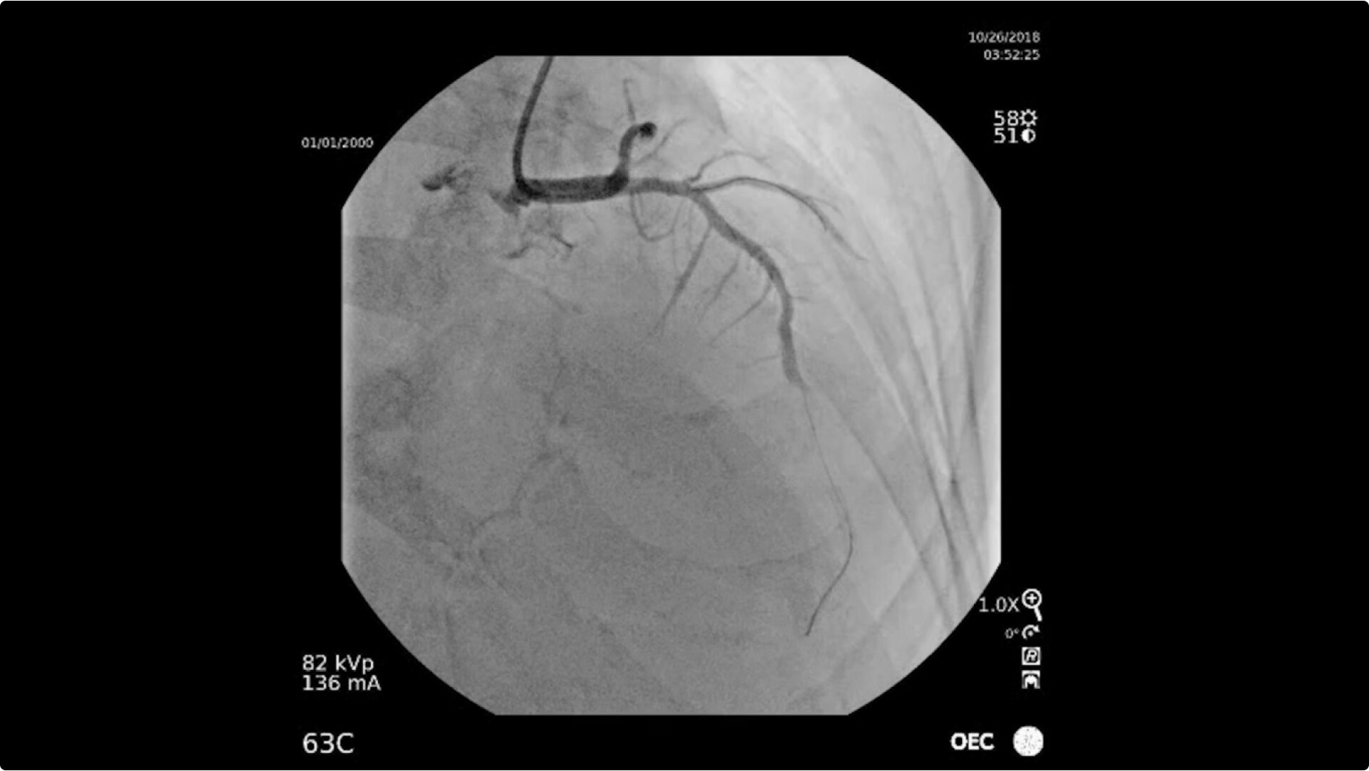
Achieve high-quality visualization necessary for complex cardiac procedures. OEC C-arms offer amazing image quality at low dose for efficient interventional imaging. Interventionalists and surgeons clearly see fine details of cardiac imaging, such as the border of the heart, leads, and small guidewires. Dynamic range management enables superb resolution, even with motion, during cardiac procedures.

Cardiac imaging features

Clear

See 0.014” guidewires in thoracic region or wire leads when placing biventricular pacemakers with the OEC Elite CFD flat detector, image processing, and 4K display.

Visualize moving interventional devices (catheters, stents) in vessels of the heart with the Cardiac Preset profile that automatically reduces blooming artifacts.

clear-s-curve-desktop

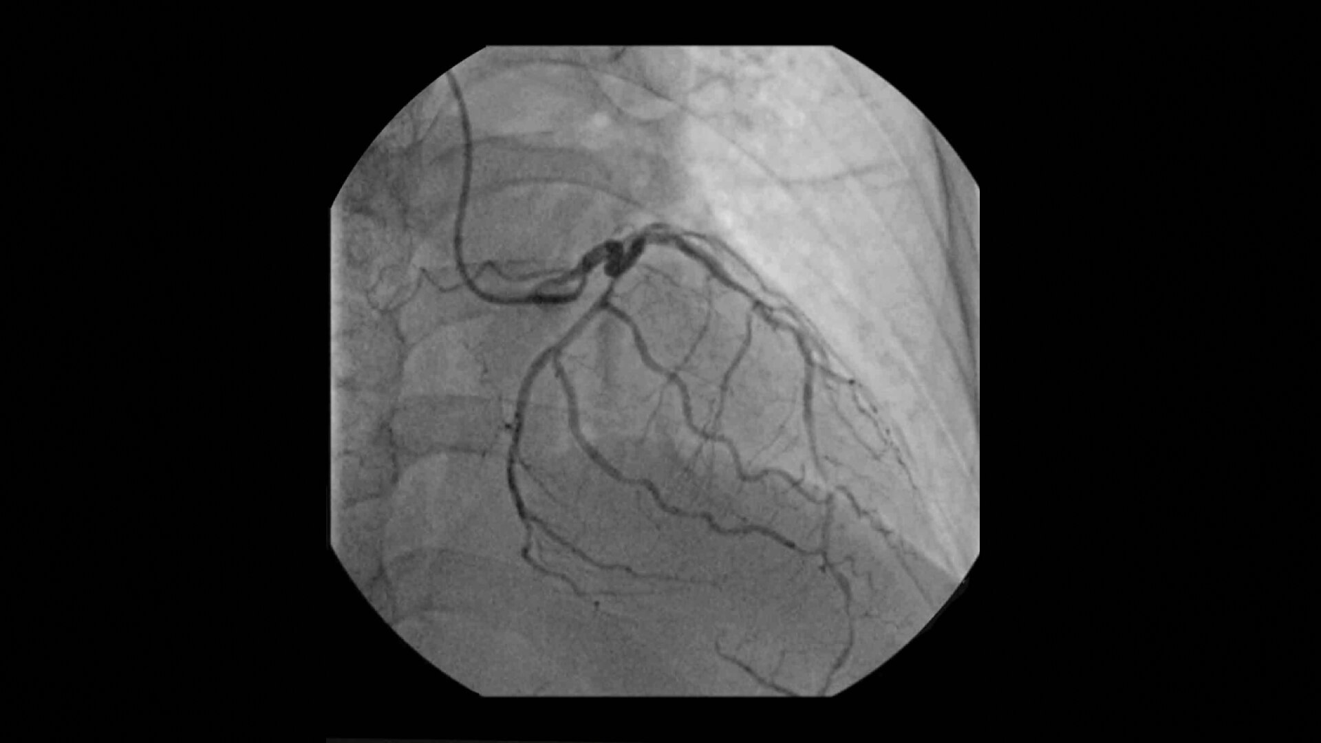
Smooth

Experience fixed room-like images with eNR (enhanced Noise Reduction), an advanced software algorithm that automatically reduces image noise by 30% for an equivalent appearance of 30 kW power.

To see pacemakers or coronary stenosis, Live Zoom up to 4X during a fluoro or Cine without the additional dose of Mag modes or resulting X-ray heat build up.

smooth-s-curve-desktop

Precise

Consistently achieve repetitive shots, such as spider views or deep caudal angles, with six memory positions for quick motorized control as well as two speeds for precise positioning.

Whether controlling motorized movement or setting up to take an image, the OEC Touch panel features recognizable icons for quick menu selection during procedures and an optional rollstand for table side control.

precise-s-curve-desktop
cardiac-imaging-you-need-desktop

Cardiac imaging you need

Complex cardiac procedures require powerful imaging systems.
OEC premium C-arms perform a variety of procedures such as:

• Atrial septal defect closure
• Cardiac resynchronization therapy device implant
• Cardiac valve repair
• Coronary artery diagnosis
• Chronic total occlusion (CTO)
• In-stent restenosis of coronary arteries
• Multisite pacemaker implant
• Percutaneous coronary intervention
• Triple vessel stenting

RELATED PRODUCTS

Discover other OEC C-arm products

OEC 3D thumbnail 670 x 670 px

OEC 3D

The OEC 3D is a true 3D/2D C-arm with the flexibility to acquire both precise 3D and 2D images without switching systems.
oec-elite-cfd-c-arm-system

OEC Elite CFD

The OEC Elite CFD premium mobile C-arm provides stunning image quality at a low dose, giving surgeons the ability to see more detail and anatomy.

Have a question? We've love to hear from you.

Have a question? We've love to hear from you.

Thank you!

We received your request for assistance.

A GE Healthcare specialist will be reaching out shortly.

Something went wrong

We will check and get back.

JB07018XE November 2023