• Change country/language

    Looks like you’re in {} — you’re on the {} site.

    Cancel

    Country and language selected

    You are being redirected to the {} site. Products and services availability vary by country. Do you wish to continue?

    Continue
    Cancel
pulmonary-and-thoracic-desktop

Pulmonary and thoracic imaging

OEC C-arms efficiently provide fluoroscopy images and 3D volumes for bronchoscopy procedures.

OEC C-arms bring efficiency to any procedure through a variety of imaging options, including mobile cone beam CT. Whether conducting a biopsy or localization, a clear display with large field of view provides detailed visualization of thoracic anatomy.

Bronchoscopy imaging features

Precise

The OEC 3D provides comprehensive imaging with precise 19 cm x 19 cm x 19 cm 3D volumes and exceptional 2D images intraoperatively.

The OEC 3D presents five perspectives: Axial, Coronal, Sagittal, MIP, and VR, on a 4K display for clear and detailed review of 3D volumes and 2D images.

precise-s-curve-desktop

Relevant

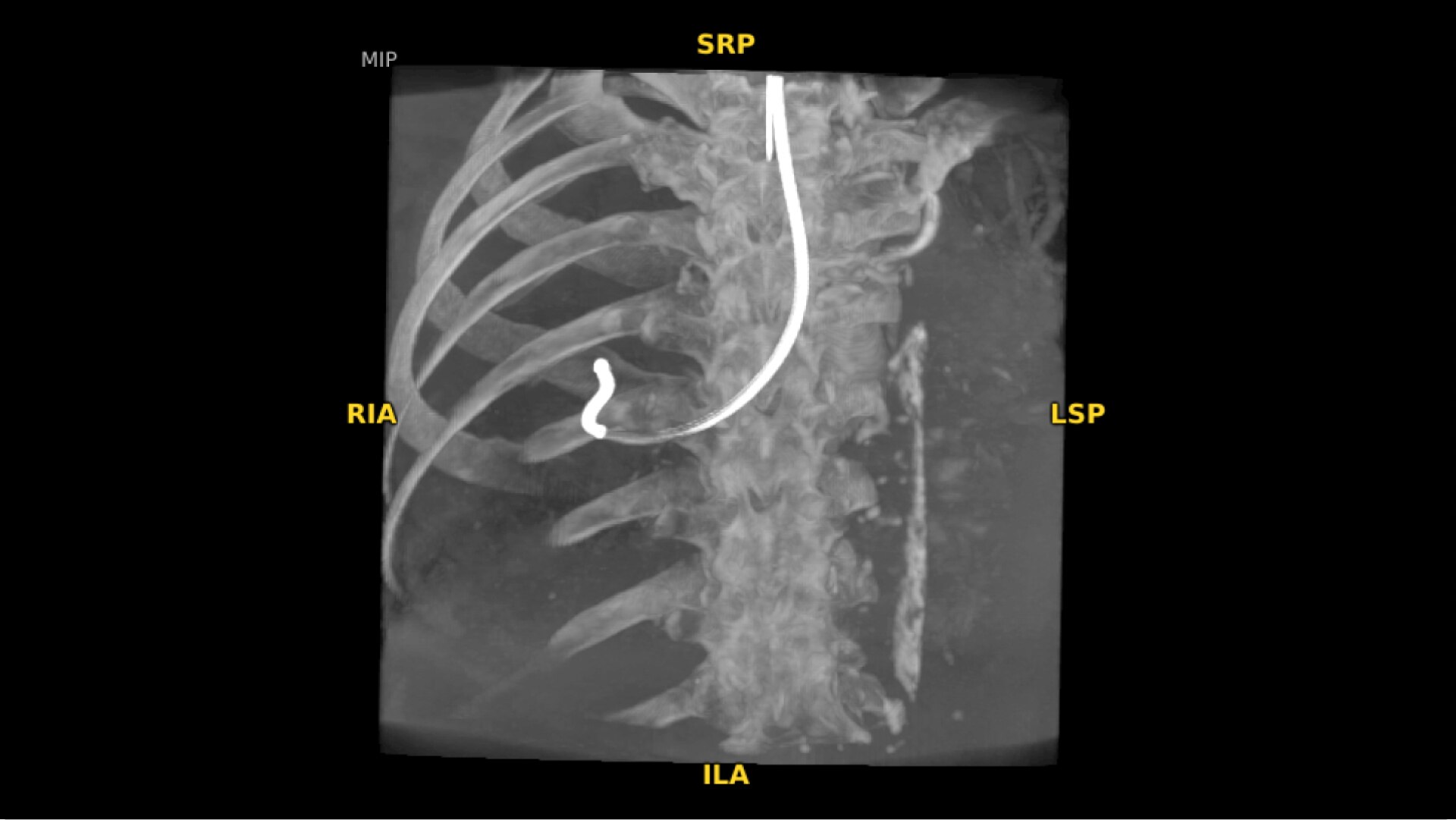
Select Lung Preset for optimized view of pulmonary structures. Easily change slices or adjust slice thickness for multiplanar assessment of lesions and bronchial structures.

Analyze CT-like images with the OEC 3D Volume Viewer which includes Multi Oblique Mode with reference coordinates, Window Level/Window Width, rotate, zoom, and more for quick and comprehensive tool-in-lesion confirmation.

relevant-s-curve-desktop

Efficient

Augmented fluoroscopy aids visualization with ability to select point of interests in the OEC 3D CBCT volume and overlay on live fluoroscopy images. To accommodate patient and equipment positioning, the OEC 3D scan range is also adjustable for a simplified imaging workflow. Features available in Lung Suite application.

Job_10044
pulmonary-imaging-desktop

Bronchoscopy imaging you need

Complex bronchoscopy procedures require powerful imaging systems.
OEC premium C-arms perform in a variety of procedures such as:
• Bronchoscopy
• Endoscopy

RELATED PRODUCTS

Discover other OEC C-arm products

OEC 3D thumbnail 670 x 670 px

OEC 3D

The OEC 3D is a true 3D/2D C-arm with the flexibility to acquire both precise 3D and 2D images without switching systems.
oec-elite-cfd-c-arm-system

OEC Elite CFD

The OEC Elite CFD premium mobile C-arm provides stunning image quality at a low dose, giving surgeons the ability to see more detail and anatomy.
OEC-One-CFD-thumb-image-v1

OEC One CFD

With OEC One CFD, experience the image quality expected from OEC mobile C-arms and the clinical versatility needed in a compact, all-in-one mobile C-arm with the choice of two CMOS flat detector sizes.

Have a question? We've love to hear from you.

Have a question? We've love to hear from you.

Thank you!

We received your request for assistance.

A GE Healthcare specialist will be reaching out shortly.

Something went wrong

We will check and get back.

JB09145XE December 2025