• Change country/language

    Looks like you’re in {} — you’re on the {} site.

    Cancel

    Country and language selected

    You are being redirected to the {} site. Products and services availability vary by country. Do you wish to continue?

    Continue
    Cancel
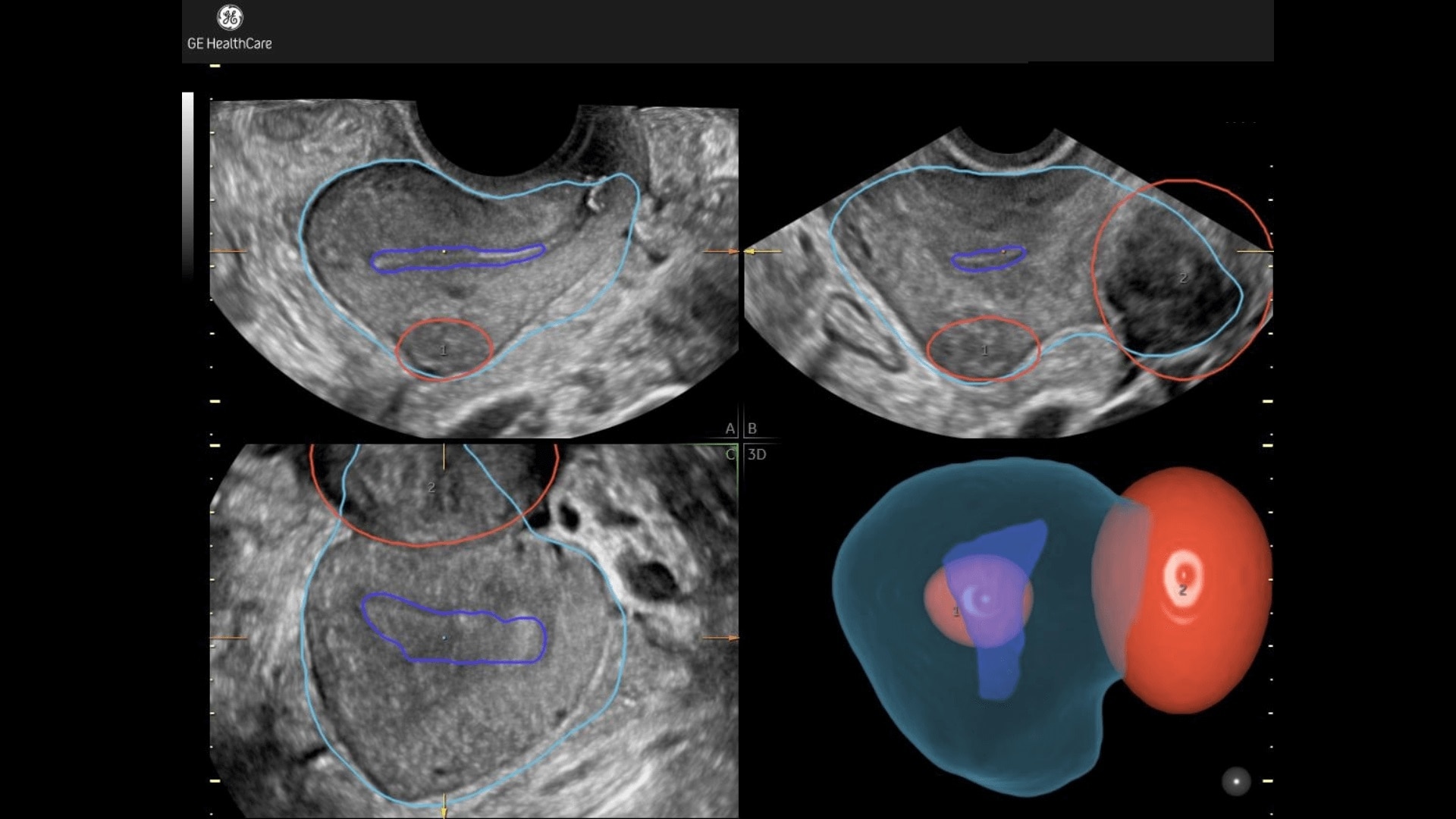
Fibroid Mapping

Uterine fibroid location & size highlighted in 3D.
By: GE HealthCare - Voluson™ • FDA & CE approved

Uterine fibroid location & size highlighted in 3D

  • Illustrates position of fibroid in relation to uterus in 3D.
  • Classify each fibroid according to FIGO© classification.
  • Simplify communication with colleagues, referring pysicians and patient.

Details

Compatible Systems

Compatible Systems

Installation

Installation

Support

Support

Privacy & Security Policy

Privacy & Security Policy

Contact us

We're ready to support you in your moments that matter.

We’re sorry, a problem occurred with the form. Please try again.
Thank you!

We received your request for assistance.

A GE Healthcare specialist will be reaching out shortly.

Something went wrong

We will check and get back.

Obstetrics

Speed up diagnostics, minimize manual work, and manage your most demanding workflows with innovations that inspire confidence in obstetric care.

Gynecology

From routine exams to complex cases, discover the latest clinical tools delivering ease, clarity, and the timely answers she’s counting on.

Reproductive Medicine

Discover progressive technology that transforms fertility assessments and follicle monitoring—powering more progress and possibility in reproductive medicine.

Support Excellence

Supercharge your ultrasound system with our dedicated support offerings—from innovations and digital solutions to education and training—tailored to your clinical specialty.

JB08942XE October 2025