Not all products or features are available in all markets.

  • Change country/language

    Looks like you’re in {} — you’re on the {} site.

    Cancel

    Country and language selected

    You are being redirected to the {} site. Products and services availability vary by country. Do you wish to continue?

    Continue
    Cancel

Revolution™ Apex platform

An innovative platform with exceptional technology and unparalleled clinical capabilities that puts your radiology department not just ahead of the curve, but beyond it.

ct-revolutin-apex-ba-en

At a glance

Exceptional technology

Throughout the CT imaging chain

Uncompromised clinical solutions

Across a wide range of care areas, even for challenging cases

Future-ready platform

Ensures quick access to the next generation of CT innovation

The Revolution Apex Platform provides innovative technologies

The Revolution Apex Platform was built with exceptional technologies throughout the imaging chain and with an Effortless Workflow model of efficiency to help you meet your imaging challenges. To meet tomorrow’s needs, we’ve built it with scalable detectors that allow you to take your practice to the next level at any time. The Revolution Apex platform is the powerful, adaptable technology you need to lead CT now and into the future.
Features
We have you covered, with built-in scalability and upgradability
The Revolution Apex platform allows your department to meet today’s priorities, while seamlessly keeping pace with technological advancements and future clinical needs.
Scalable Clarity Detector
The Revolution Apex platform has a modular design that allows for hardware scalability. You can start with Revolution Apex Select with a 40mm detector and in the future, when you need to grow your service line, you can scale the detector up to 160mm.
ct-rev-scalable-clarity-detector-ci-en
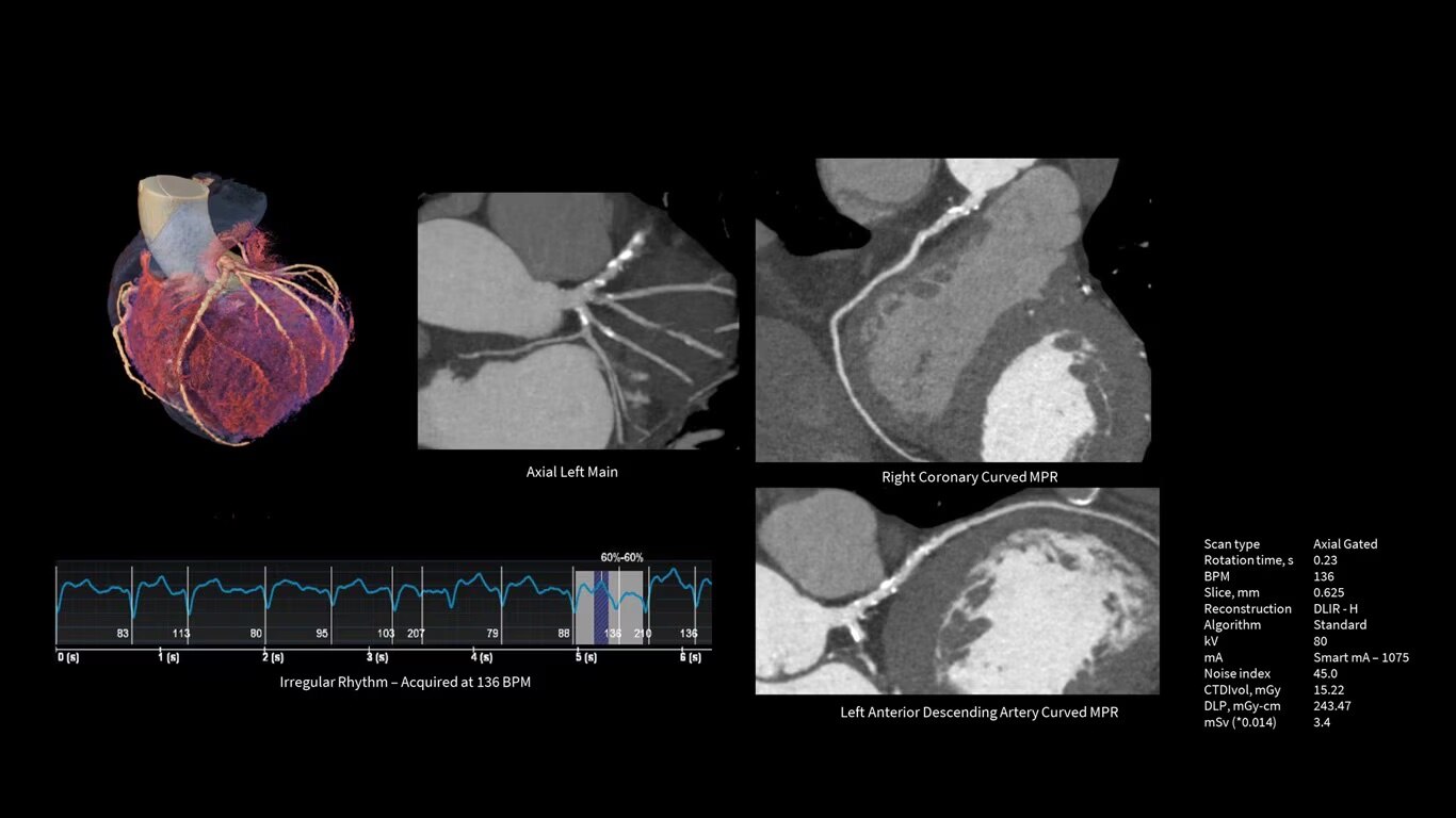
Upgrade to the industry's fastest rotation time
The Revolution Apex platform allows you to upgrade your gantry rotation speed. You can start with 0.28 sec gantry rotation time, and at any point in time when you need to advance your cardiac capability, you can upgrade to 0.23 seconds per rotation with the industry’s fastest rotation time.
upgrade-to-industry-fastest-rotation-ci-en
Power like never before
The Revolution Apex platform provides high power output. The ability to upgrade means that siting challenges no longer prevent you from high power output to your department. If your siting power is limited to 150 KVA in the initial installation, you can start with the Power Pro option at maximum 1200 mA, and later on, you can scale up to 1300 mA Power Xtream when you upgrade the powerline.
power-like-never-before-ci-en
Boost operational efficiency
The Revolution Apex platform is designed to help you reduce clicks and save time, while achieving exceptional efficiency and consistency. Providing a wing-to-wing holistic approach, our Effortless Workflow utilizes AI technologies to automate and simplify nearly every step from pre-scan to post-scan. Effortless Workflow takes the Revolution Apex platform experience to a new level of speed and precision.
boost-operational-efficiency-ci-en
Smart Subscription for CT
Smart Subscription is the industry's first subscription-based service for CT applications. Smart Subscription includes a broad range of application packages across different imaging service lines, including cardiology, neurology, oncology and radiation treatment planning. You can pick different packages and plans to begin with, and choose more packages and upgrade your plans when you want to expand your CT capabilities.
smart-subscription-for-ct-ci-en

Disclaimers
  1. Not a consultant for GE HealthCare. The views and opinions expressed are those of the speakers and do not necessarily reflect the official policy or position of GE HealthCare. The statements by GE HealthCare's customers here are based on his/her own opinions and on results that were achieved in his/her unique setting. Since there is no "typical" hospital/clinical setting and many variables exist. i.e, hospital size, case mix, staff expertise, etc., there can be no guarantee that others will achieve the same results.

 

 

Have a question? We would love to hear from you.

Contact us

We're ready to support you in your moments that matter.

We’re sorry, a problem occurred with the form. Please try again.
Thank you for your inquiry.

We will be in touch soon.

Something went wrong

We will check and get back.

JB28083XX February 2024