Not all products or features are available in all markets.

  • Change country/language

    Looks like you’re in {} — you’re on the {} site.

    Cancel

    Country and language selected

    You are being redirected to the {} site. Products and services availability vary by country. Do you wish to continue?

    Continue
    Cancel

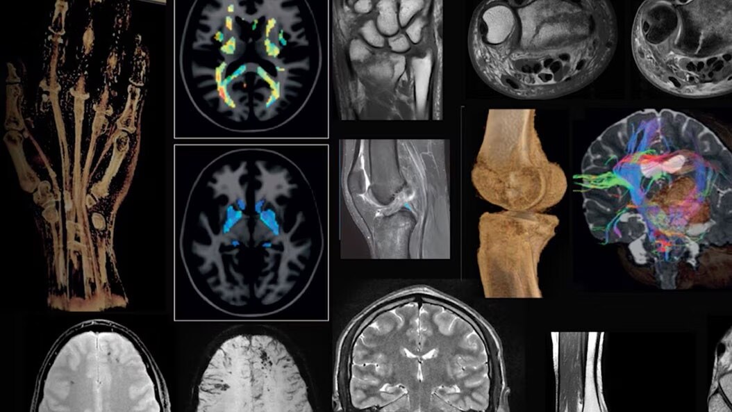
MRI applications for SIGNA

Comprehensive, upgradeable and customizable MR imaging platform for fast and flexible scanning across clinical specialties.

applications-banner-image-ba-en

At a glance

Quantifiable

Provides quantitative and actionable information

Fast

Advanced acceleration techniques and streamlined workflows for fast and reliable exams

Consistent

Motion and distortion-reduced scans for higher-resolution and improved image quality

Personalized

Comfortable, acoustic reduced imaging, added to any patient

Body MRI for SIGNA

Discover Body MRI for SIGNA™. Capture detailed breast, abdominal, and pelvic anatomy with speed, flexibility and enhanced patient comfort.

Quantifiable

Provides quantitative and actionable information

Fast

Advanced acceleration techniques for fast and reliable exams

Consistent

Motion and distortion-reduced scans with high-resolution and contrast

Personalized

Comfortable, acoustic reduced imaging, added to any patient

Cardiovascular Imaging for SIGNA

Explore cardiovascular imaging for SIGNA. Assess morphology, flow, and tissue viability with precision. Experience accelerated diagnostics and crystal-clear cardiac MR images with Sonic DL™ technology.
 

Quantifiable

Enables objective measurements based on quantitative data for a more reliable result

Personalized

Accommodates the individual characteristics and needs of each and every patient

Consistent

Enables reliable monitoring of cardiac health while delivering the best possible care to patients

Fast

Advanced acceleration techniques for fast and reliable exams

MSK MRI for SIGNA

Achieve exceptional images of bones, joints, and soft tissue with remarkable tissue contrast with MSK MRI for SIGNA. Discover the wide range of msk imaging applications now.

Quantifiable

Provides quantitative and actionable information

Personalized

Designed to deliver a comfortable, personalized patient experience through the entire exam

Consistent

Motion and distortion-reduced scans with high-resolution and contrast

Fast

Industry leading acceleration techniques using deep learning reduce scan time and improve image quality

Neuro MRI for SIGNA

Explore Neuro MRI for SIGNA, a wide range of techniques for precise brain, spine and nerve anatomy to enhance treatment monitoring and neuro imaging efficiency, effortlessly.

Quantifiable

Provides quantitative and actionable information

Personalized

Designed to deliver a comfortable, personalized patient experience through the entire exam

Consistent

Motion and distortion-reduced scans with high-resolution and contrast

Fast

Industry leading acceleration techniques using deep learning reduce scan time and improve image quality

Oncology MRI for SIGNA

Explore how Oncology MRI for SIGNA enhances oncological assessment with advanced MRI techniques, capturing anatomical and morphological data with robust tissue contrast and high resolution.

Quantifiable

Provides quantitative and actionable information

Fast

Advanced acceleration techniques for fast and reliable exams

Consistent

Motion and distortion-reduced scans with high-resolution and contrast

Personalized

Comfortable, acoustic reduced imaging, added to any patient

Pediatric MRI for SIGNA

Discover specialized pediatric MRI designed for your smallest patients. Ensure ease of use for technologists and clinical excellence for pediatric clinicians with pediatric MRI for SIGNA

Quantifiable

Provides quantitative and actionable information

Personalized

Comfortable, acoustic reduced imaging, added to any patient

Consistent

Motion and distortion-reduced scans with high-resolution and contrast

Fast

Advanced acceleration techniques for fast and reliable exams

Sports Medicine Imaging

Discover advanced MRI technology for enhanced MSK injury imaging as well as sports-related concussions and mTBI. Achieve improved image quality and higher efficiency.

MRI’s role in imaging

MR plays an important role in returning athletes to the field

Concussion & mTBI imaging

Advanced quantitative MR imaging can detect structural and functional neurological changes

MSK injury imaging

MR technology can scan both soft-tissue and bone injuries, all perfectly co-registered

Diagnostic confidence

Discover deep-learning-based MR image reconstruction for sharper, clearer & accurate images

  

air-recon-dl-ba-en

MR image reconstruction with AIR Recon DL

Evolve your MRI scanner's capabilities: experience exceptional image quality without compromising scan time.
life-speed-imaging-product-tile-en

Sonic DL: life-speed imaging, now in 3D

Our most cutting-edge, deep-learning MRI acceleration technique yet has evolved to support over 75%¹ of your most common exams.

Have a question? We would love to hear from you.

JB05508XX January 2025
Contact us

We're ready to support you in your moments that matter.

We’re sorry, a problem occurred with the form. Please try again.
Thank you for your inquiry.

We will be in touch soon.

Something went wrong

We will check and get back.