Not all products or features are available in all markets.

  • Change country/language

    Looks like you’re in {} — you’re on the {} site.

    Cancel

    Country and language selected

    You are being redirected to the {} site. Products and services availability vary by country. Do you wish to continue?

    Continue
    Cancel

Neuro MRI for SIGNA

Wide range of MR neuro imaging techniques for fast images of brain, spine, vascular and peripheral nerve anatomy with exceptional tissue contrast.

neuro-mri-for-signa-hero-ci-en

At a glance

Quantifiable

Provides quantitative and actionable information

Personalized

Designed to deliver a comfortable, personalized patient experience through the entire exam

Consistent

Motion and distortion-reduced scans with high-resolution and contrast

Fast

Industry leading acceleration techniques using deep learning reduce scan time and improve image quality

Clinical neurology

Neurological MR imaging applications

Access and productivity
<p>HyperWorks</p>
Read case study ico-caret-right
<p>AIR x</p>
Learn more ico-caret-right
<p>3D Arterial Spin Labeling (3D ASL)</p>
Read case study ico-caret-right
<p>3D CUBE MSDE (Vessel Wall Imaging) - Compatible with AIR Recon DL</p>
Read case study ico-caret-right
Diagnostic confidence and consistency
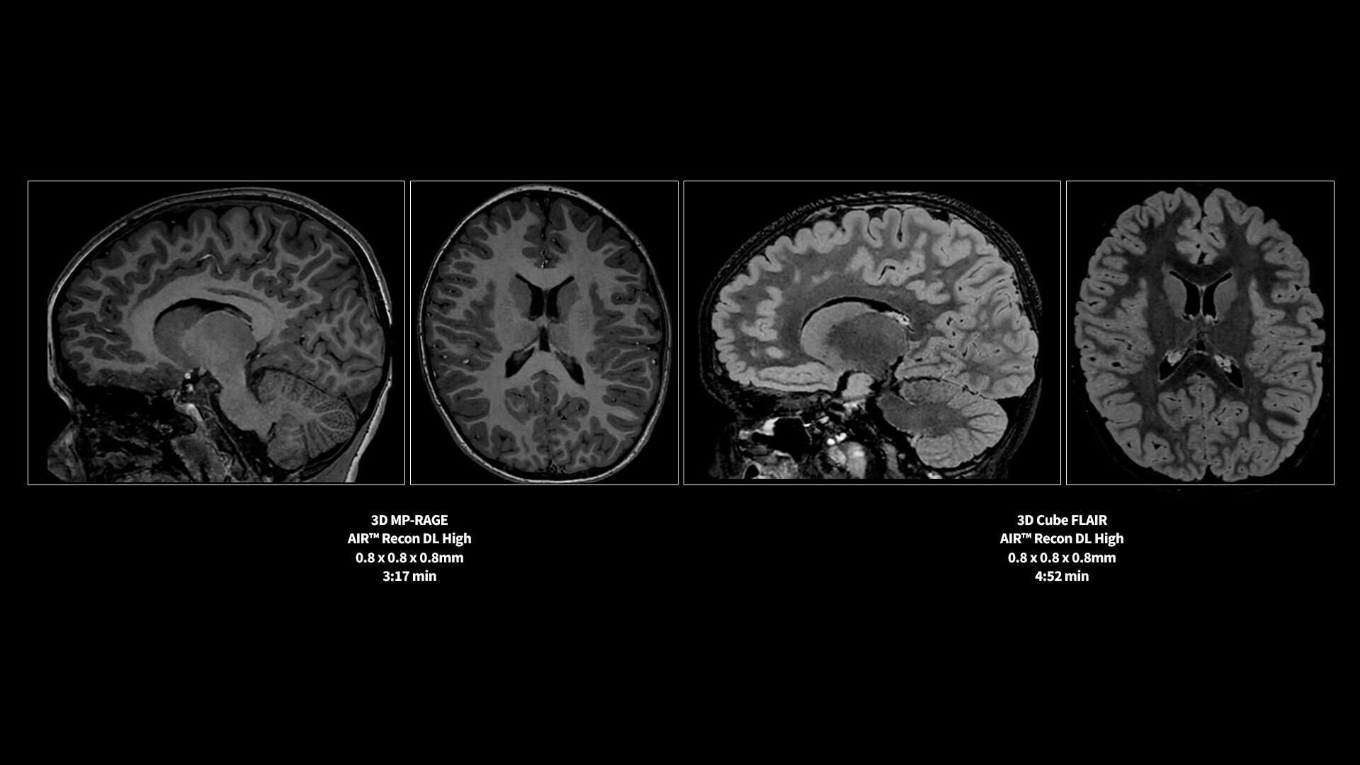
<p>AIR Recon DL</p>
Learn more ico-caret-right
<p>3D SWAN</p>
Read case study ico-caret-right
<p>FSE Flex - Compatible with AIR Recon DL</p>
Read case study ico-caret-right
<p>PSIR - Compatible with AIR Recon DL</p>
<p>PROPELLER - Compatible with AIR Recon DL</p>
Read case study ico-caret-right
<p>PROMO - Compatible with AIR Recon DL</p>
Read case study ico-caret-right
Neurography
<p>CUBE STIR - compatible with AIR Recon DL</p>
Learn more ico-caret-right
<p>MENSA Nerve compatible with AIR Recon DL​</p>
View case ico-caret-right
Precision and personalization
<p>Advanced DWI</p>
Read case study ico-caret-right
<p>SilentScan</p>
<p>BrainWave</p>

Effortless workflow and imaging confidence for treatment monitoring

GE HealthCare’s AIR x deep-learning prescription tool for automated slice placement ensures consistent image setup across follow-up exams and patients. Effortless DL reconstruction with AIR Recon DL reduces noise and scan time up to 50%, while improving SNR.

neuro-mri-for-signa-alzheimers-disease-st-en

MRI products that go beyond

air-recon-dl-ba-en

MR image reconstruction with AIR Recon DL

Evolve your MRI scanner's capabilities: experience exceptional image quality without compromising scan time.
air-x-listing-product-tile-en

AIR x – prescribing precision MRI slices

Discover GE HealthCare's AIR x which uses deep-learning algorithms to automatically prescribe MRI slices for neurological and knee exams.

Have a question? We would love to hear from you.

Contact us

We're ready to support you in your moments that matter.

We’re sorry, a problem occurred with the form. Please try again.
Thank you for your inquiry.

We will be in touch soon.

Something went wrong

We will check and get back.

JB26887XX November 2023