• Change country/language

    Looks like you’re in {} — you’re on the {} site.

    Cancel

    Country and language selected

    You are being redirected to the {} site. Products and services availability vary by country. Do you wish to continue?

    Continue
    Cancel

Comprehensive evaluation of CT lung exams.

 

 

Automated lung segmentation and quantitative measurements to aid in the diagnosis of lung diseases.

 

 

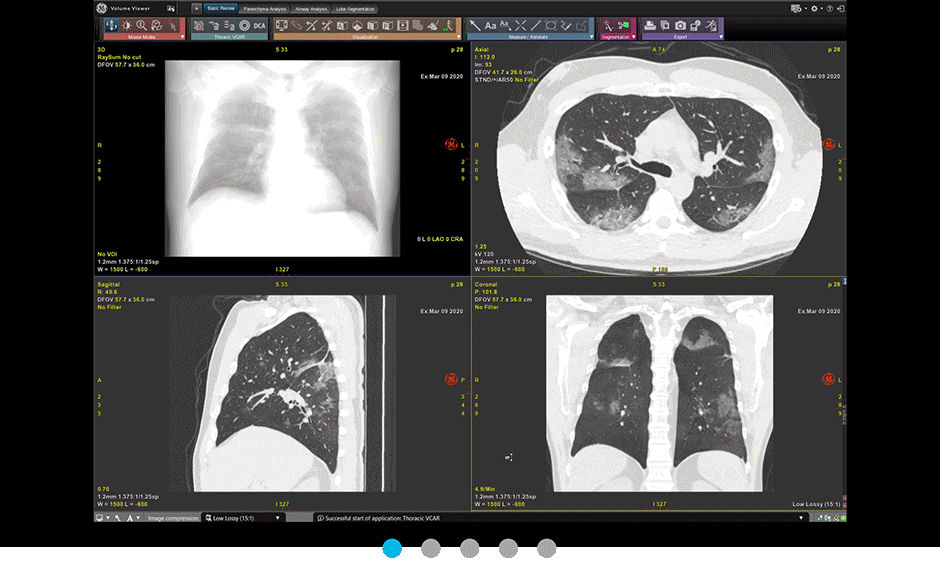
Thoracic VCAR provides tools to help efficiently extract more information from your CT Chest acquisitions when evaluating a variety of pulmonary disease processes.

 THORACIC VCAR
thoracic vcar

Automated lung segmentation and quantitative measurements to aid in the assessment and follow-up of lung diseases

Thoracic VCAR gives you the ability to make quantitative measurements of the lungs to aid in the diagnosis of lung disease. The application blends automated lung and airway segmentation with basic review and advanced lung tissue analysis. Using Thoracic VCAR you can generate a clear, concise report that communicates vital medical information to referring physicians and patients.

 

Automated lung segmentation and quantitative measurements

AUTOMATED lung and airway segmentation

 

AUTOMATIC calculation of abnormal hounsfield ranges

 

EFFICIENTLY identify and report regions of relative
hypo-perfusion with the GSI Pulmonary Perfusion
feature

Complete reading workflow solution featuring:

  • Automated segmentation of lungs and airways
  • Individual lobe segmentation and visualization
  • Parenchyma analysis with customizable presets to identify different ranges of HU variances within the segmented lung fields
  • One-touch 3D airway tracking and automated measurements of wall thickness for airway analysis
  • Automatic analysis of GSI pulmonary studies
  • Display relative perfusion map based on GSI iodine concentration in lung parenchyma
S-Curve-470px-Thoracic-VCAR

FOOTNOTES

1. Forum of International Respiratory Societies. The Global Impact of Respiratory Disease – Second Edition. Sheffi eld, European Respiratory Society, 2017.
2. IMV 2019 CT Market Outlook Report.

Contact Us

We're ready to support you in your moments that matter.

Thank you!

We received your request for assistance.

A GE Healthcare specialist will be reaching out shortly.

Something went wrong

We will check and get back.

JB00544XX October 2020