• Change country/language

    Looks like you’re in {} — you’re on the {} site.

    Cancel

    Country and language selected

    You are being redirected to the {} site. Products and services availability vary by country. Do you wish to continue?

    Continue
    Cancel

SIGNA 7T MRI scanner*

With UltraG gradients, the SIGNA™ 7T MRI scanner delivers superior contrast and SNR performance for improved diagnostic confidence, all with familiar state-of-the-art applications.

signa 7t mri_1920x650

AT A GLANCE

Advanced technology

GE HealthCare’s most powerful whole-body gradient platform to date

State-of-the-art applications

Powered by a common suite of SIGNA imaging applications and deep-learning tools

Freedom and familiarity

Same look and feel as other GE HealthCare MRI scanners, for research or clinical use

7T MRI scanner: scientific discovery meets clinical translation

Designed for advanced MR research as well as clinical translation, SIGNA 7T brings a plethora of innovations in a single system. Approximately five times more powerful than most clinical systems, SIGNA 7T is designed to detect subtle structures that may be significant for clinicians and researchers alike.

BENEFITS
SIGNA 7T MRI scanner - it’s where scientific discovery meets clinical translation

Our SIGNA 7T combines innovative hardware with state-of-the-art software for overcoming common challenges with operating at ultra high fields.

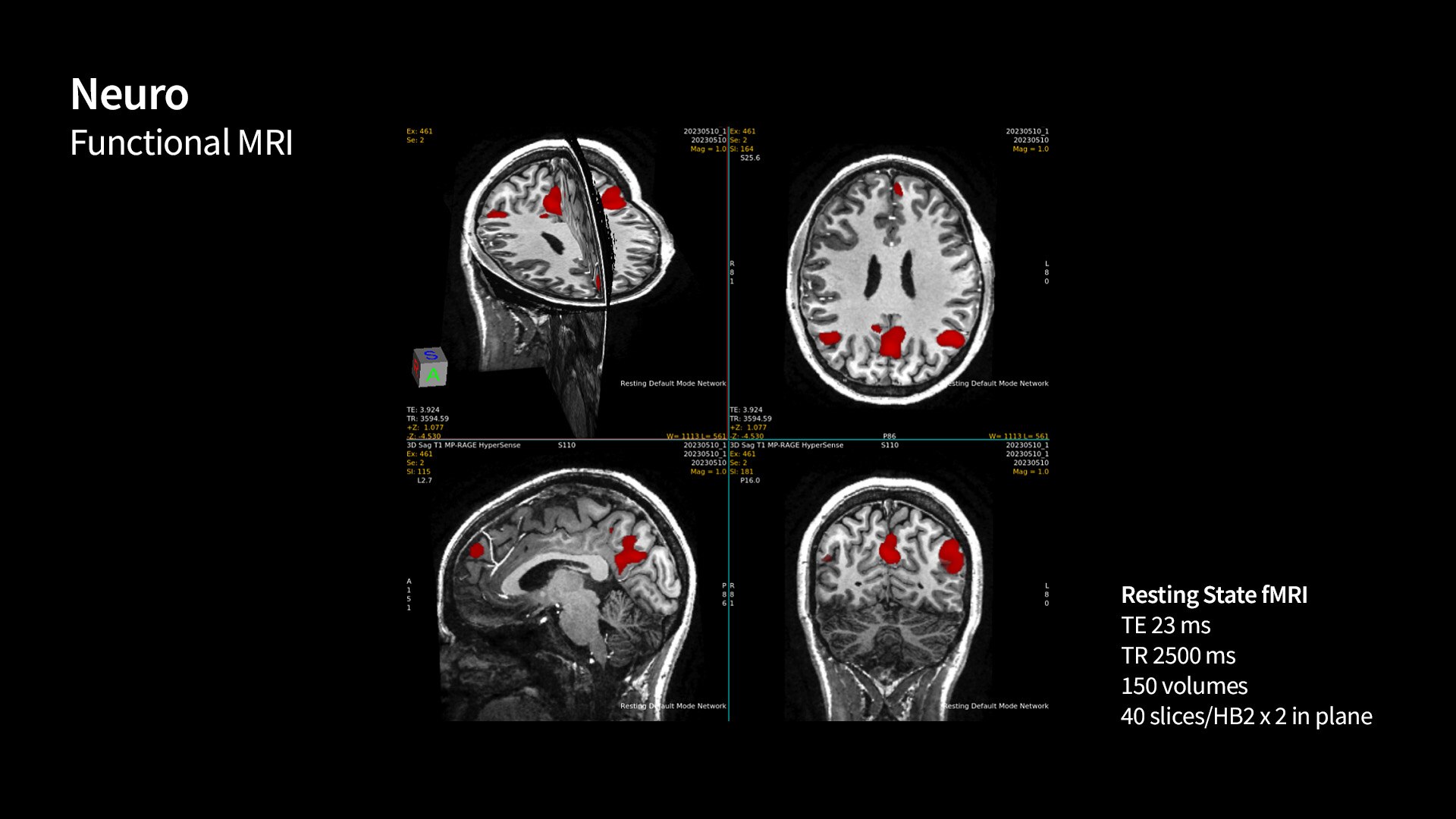
Uncover new contrasts, such as Quantitative Susceptibility Mapping (QSM), for advancing neurological disorder research. Explore novel biomarkers for ischemic stroke characterization and uncover subtle structures with ultra-high resolution imaging with our SIGNA 7T platform.

SIGNA 7T powered by a common suite of SIGNA Imaging Applications

Users have access to our latest state-of-the-art applications along with deep-learning tools like AIR x™ Brain and Knee as well as AIR™ Recon DL, while delivering the diagnostic confidence of an ultra-high-field system.

signa-7t-mri-scanner-feature-hero-1_1440x960 v2
UltraG Gradients to power your research

Our SIGNA 7T platform is equipped with GE HealthCare’s most powerful whole-body gradient system yet. With peak amplitude of 113 mT/m and a peak slew rate of 260 T/m/s, this scanner can properly leverage the clinical capabilities and research demands that users expect from a 7T.

SIGNA-7T-feature-hero_image-2
SIGNA 7T freedom and familarity

Users can switch between clinical and research modes for easy protocol deployment. Our SIGNA 7T scanner share the same state-of-the-art software platform as GE HealthCare 1.5T and 3T product portfolio, enhancing ease of use and productivity

signa-7t-mri-scanner-feature-hero-3_1440x960

*SIGNA 7T is a configuration of SIGNA™ 7.0T. SIGNA 7.0T is FDA cleared and CE marked. Not available for sale in all regions.

Learn more about SIGNA 7T MRI scanner

We're ready to support you in your moments that matter.

Thank you!

We received your request for assistance.

A GE Healthcare specialist will be reaching out shortly.

Something went wrong

We will check and get back.

JB08523XE May 2025