• Change country/language

    Looks like you’re in {} — you’re on the {} site.

    Cancel

    Country and language selected

    You are being redirected to the {} site. Products and services availability vary by country. Do you wish to continue?

    Continue
    Cancel
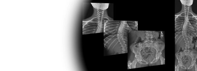
Advanced Applications

Helping you uncover critical information

Advanced clinical applications provide access to areas of uncertainty, helping uncover information previously hidden within conventional 2D radiographic imaging.

Contact Us

We're ready to support you in your moments that matter.

Thank you!

We received your request for assistance.

A GE Healthcare specialist will be reaching out shortly.

Something went wrong

We will check and get back.

JB07735XE July 2024