• Change country/language

    Looks like you’re in {} — you’re on the {} site.

    Cancel

    Country and language selected

    You are being redirected to the {} site. Products and services availability vary by country. Do you wish to continue?

    Continue
    Cancel
VENUE FAMILY
Point of care ultrasound for musculoskeletal
Providing musculoskeletal (MSK) practitioners with effortless and precise ultrasound, the Venue family of AI-enabled point of care ultrasound systems allows you to quickly assess tendons, muscles, and joints, and manage patient progress during a course of treatment. Improving both the patient and practitioner experience, Venue family products enable fast assessments and accurate needle procedures.

New Frontiers in Point of Care Ultrasound: Bringing AI to Nerve Blocks

Follow Dr. Bernard Victor Delvaux, Anesthesiologist into the world of artificial intelligence for POCUS as his collaboration with Doron Shaked, Data Scientist comes to life supporting clinical confidence for nerve blocks.

Video Thumbnail
Hero Banner Image
FEATURES
Made for your point of care

Supporting MSK practitioners through a variety of features, Venue family enhances patient safety and satisfaction by removing the need for patients to reschedule additional visits.

VENUE COACH MSK
Simplifying MSK scans

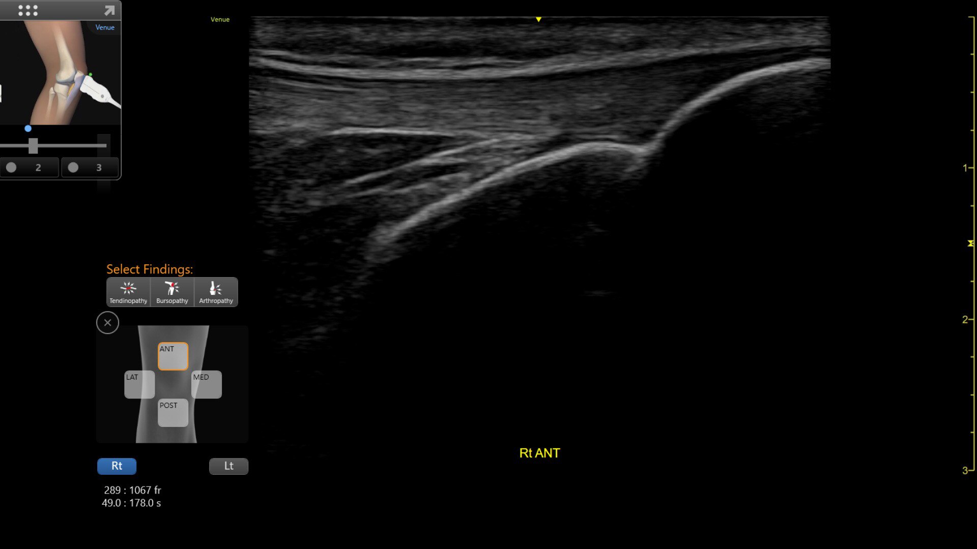
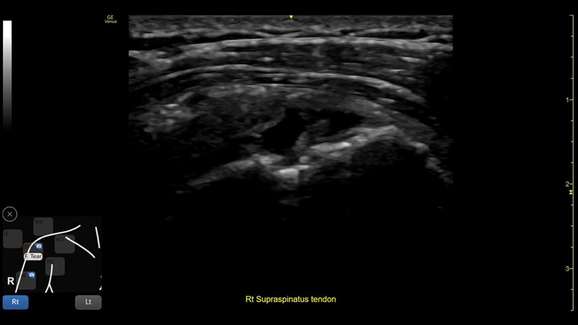
This easy-to-use exam documentation tool assists users through exams by providing reference images and anatomy markups. Multiple anatomical areas and helpful video tutorials help clinicians to acquire the scans they need.
Focus areas include:

  • Shoulder
  • Knee
  • Hip
  • Elbow
  • Wrist/Hand
  • Ankle/Foot
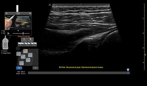
  • MSK Diagrams: Simplifies documentation and assists the clinician in follow up for patients. No need to manually type findings—you can simply assign a label from a pre-populated list that correlates with the images. Get a single view diagram with one click image storing, keep track of assessments and show trends in response to therapy.
  • Reference Image: Reference image provides anatomy mark-ups to assist novice users in scanning the correct anatomy
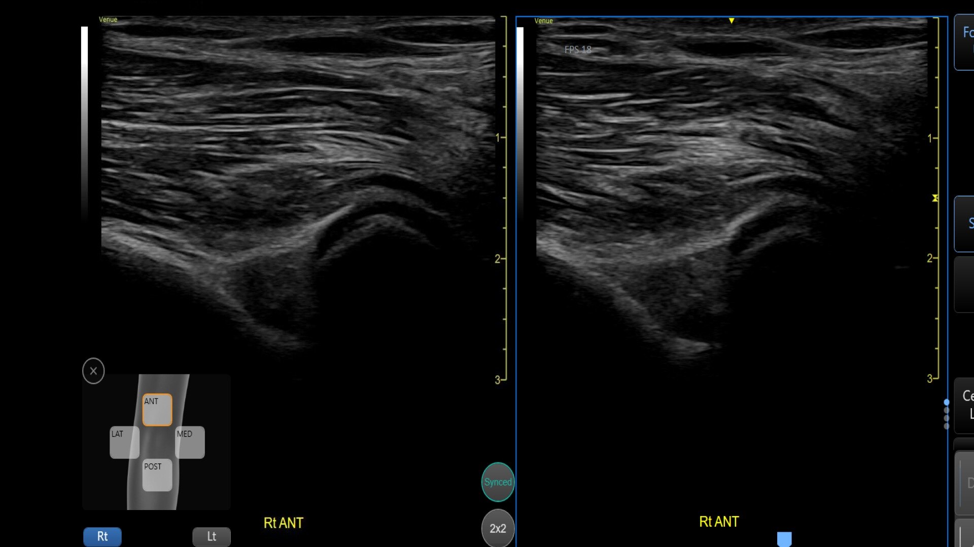
  • Bilateral mode: Helps you to view the opposite side of the same zone for comparison (available for Shoulder preset)
5-simplify-scan-desktop
PRECISION NEEDLE GUIDANCE
Accurately guide and visualize injections

Even in the most experienced hands, blind injections—those performed without imaging—are not 100% accurate. By using ultrasound for needle guidance, the needle is highlighted and you have quality visualization of joints and soft tissue during procedures at a lower acquisition cost than other imaging modalities.

1-feature-hero-desktop
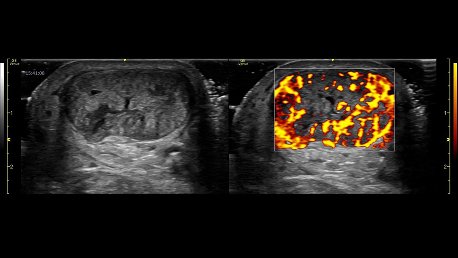
POWER DOPPLER IMAGING
Visualize slower blood flows

Power Doppler Imaging + (PDI+) is a color flow mapping technique used to map the strength of a Doppler signal coming from the flow rather than the frequency shift of the signal. In PDI+ mode, the sensitivity of the color in the Region of Interest (ROI) increases. Providing a higher resolution than the regular PDI mode, PDI+ is best used for slower blood flows such as those found in wrists, ankles, hands, and feet. This is an additional option that exists within the regular PDI mode.

feature-pdi-desktop
SCRIBBLE
Built-in teaching assistance to accelerate learning

Leveraging a touch-operated pointer and offering free-drawing capabilities that are visible on an external monitor or shared screen, Scribble helps to fast-track training of new users.

feature-scribble-desktop
CONVENIENT BUTTON PROBE
Guide treatments

With our button probes, you can perform procedures while controlling multiple parameters of the system from the probe. Needle procedures that once required two people, can now be done with one.

feature-onebuttonprobe-desktop

Ready to go where you’re needed most

Whether the patient is coming to you or you are going to the patient, the Venue family of point of care ultrasound systems empower you to make fast assessments.

AI assists in ultrasound-guided nerve blocks

During the scouting phase, use cNerve to identify the nerve landmark and see it highlighted on the image. This helps detect and track the nerve in 99% of cases while scanning or reviewing a stored clip.¹
feature-card-ai-desktop1

Visualize more anatomy in a single scan with Virtual Convex

This tool provides a wide field of view so users can visualize more large anatomy structures in a single scan.
featurecard-l4-20t-rs-right-post-labrum-ghj-desktop1

Easily see the anatomy you need to see with Venue View

Supporting diagnostic confidence by constructing a panoramic image from individual frames, Venue View allows you to view up to 60cm of anatomy being scanned with anatomical relationships in one view.2
featurecard-knee-joint-meniscus-cyst-l4-20t-mobile1

Automatically recall parameter settings with Follow Up

Delivering consistent and clear conclusions for repeated exams on the same patient, Follow Up automatically recalls parameter settings from a previous exam including comments and body patterns.
featurecard-follow-up-desktop1
featurecard-follow-up-desktop1

Automatically recall parameter settings with Follow Up

Delivering consistent and clear conclusions for repeated exams on the same patient, Follow Up automatically recalls parameter settings from a previous exam including comments and body patterns. It also supports monitoring of patient response to treatment over time, allowing a side-by-side view of historical and new images.

Excellent visualization with Needle Mode

Needle Mode also allows you to easily differentiate between the needle and patient anatomy with confidence—allowing you to quickly guide the needle exactly where it needs to be and helping to minimize patient discomfort.
featurecard-needle-mode-desktop1

Remove the clutter with Simple Screen

See only what you need to see with Simple Screen mode, a feature that allows you to see up to a 39%3 larger ultrasound image and view only the icons they want.
featurecard-l4-20t-rs-right-biceps-tendon-desktop1

Additional Information

Venue for MSK brochure

Download and read this brochure to learn more about how the simple, fast, and precise Venue family of systems is made for MSK practitioners.

feature-card-full-width-venue-family-msk-desktop-tablet

Venue probes

A broad range of probes helps you accurately administer nerve blocks at the deepest and shallowest depths.
11-msk-probes

Product tutorial gallery

Learn how to utilize tools and features to get the most out of your system and best utilize point of care ultrasound as a MSK practitioner.
venue-featurecard-desktop
PRODUCTS

Discover the point of care ultrasound family

Whether you’re looking for an adaptable model that goes from cart to table to wall, a robust laptop, or a console system with a large screen, there is a versatile, robust, and simple system made for your point of care.

venue-product-tile-2

Venue Ultrasound

The Venue Ultrasound is the premier solution in the Venue family. Its multi-purpose ultrasound system is simple, fast, and precise at your point of care.
venuegoproducttile

Venue Go Ultrasound

A take anywhere ultrasound system, Venue Go™ provides a portable and adaptable way to access a patient's medical status at your point of care.
product-tile-venuefit

Venue Fit™ Ultrasound

A small but efficient point of care ultrasound system, Venue Fit™ is a simple, fast and precise way to access a patient's medical status at the point of care.
FOOTNOTES
  1. DOC2725435 cNerve reading study
  2. DOC2454794 Venue Fit R3 messaging and claims and DOC2391130 Venue family R3 messaging and claims
  3. DOC2511354 Venue family Simple Screen image size test and results rev.2

Venue Sprint is approved for use in road/air ambulance (compliant with 60601-1-12)

Have a question? We would love to hear from you.

Have a question? We would love to hear from you.

Thank you!

We received your request for assistance.

A GE Healthcare specialist will be reaching out shortly.

Something went wrong

We will check and get back.

JB08052XE November 2024