• Change country/language

    Looks like you’re in {} — you’re on the {} site.

    Cancel

    Country and language selected

    You are being redirected to the {} site. Products and services availability vary by country. Do you wish to continue?

    Continue
    Cancel
Voluson AI and automation
The right workflow feels effortless. With Voluson’s AI and automation tools, get the insights you need, fast and without all the extra steps. Simplify measurements, identification, and reporting—saving you time, reducing stress, and supporting users with different levels of experience.

Solutions

SonoLyst

AI tool helps automatically identify fetal anatomy.
Developed by: GE HealthCare - Voluson™
1_SonoLyst-Clinical-Image

SonoCNS

Automatically display fetal brain views and measurements
Developed by: GE Healthcare - Voluson™

EXP22  EM6CG3 OB 3D SONOCNS RAD 23Wx

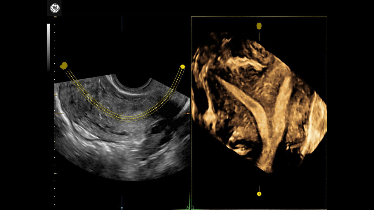
Uterine Trace

Easy display coronal view of uterus.
Developed by: GE HealthCare - Voluson™
1_Uterine-Trace-Septate Uterus

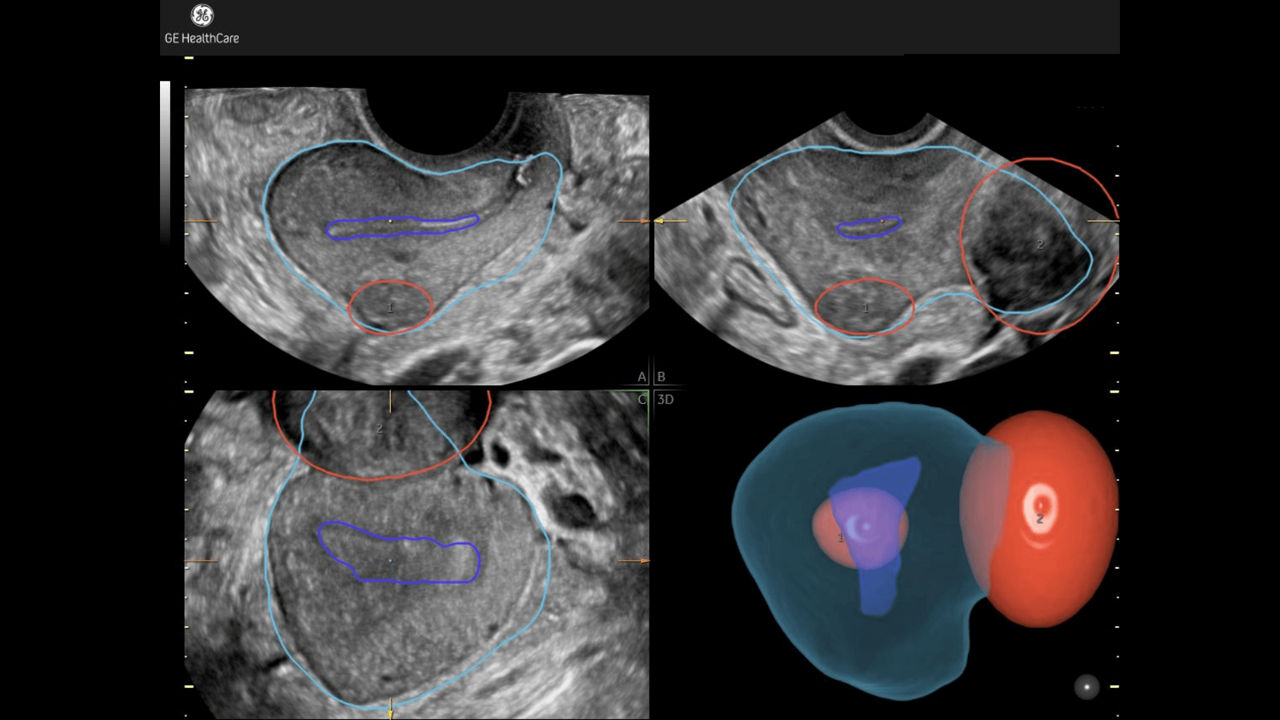
Fibroid Mapping

Uterine fibroid location & size highlighted in 3D.
Developed by: GE HealthCare - Voluson™
Fibroid-Mapping-Feature card Desktop

SonoAVC™ follicle with Auto Caliper

Automate follicle counts in 2D or 3D.
Developed by: GE HealthCare - Voluson™
1_sono-avc-follicle-with-auto-caliper

SonoAVC™ antral

Simplifies assessment of ovarian reserve.
Developed by: GE HealthCare - Voluson™
6_sonoavc-antral
Want to know the true value of owning a Voluson?

Explore all the benefits that are waiting for you.

We're ready to support you in your moments that matter.

Thank you!

We received your request for assistance.

A GE Healthcare specialist will be reaching out shortly.

Something went wrong

We will check and get back.

JB30855XX October 2025