Not all products or features are available in all markets.

  • Change country/language

    Looks like you’re in {} — you’re on the {} site.

    Cancel

    Country and language selected

    You are being redirected to the {} site. Products and services availability vary by country. Do you wish to continue?

    Continue
    Cancel

SIGNA™ 7T MRI scanner*

With UltraG gradients, the SIGNA™ 7T MRI scanner delivers superior contrast and SNR performance for improved diagnostic confidence, all with familiar state-of-the-art applications.

7t-mri-scannerimages-banner-ba-en

At a glance

Advanced technology

GE HealthCare’s most powerful whole-body gradient platform to date

State-of-the-art applications

Powered by a common suite of SIGNA™ imaging applications and deep-learning tools

Freedom and familiarity

Same look and feel as other GE HealthCare MRI scanners, for research or clinical use

7T MRI scanner: scientific discovery meets clinical translation

Designed to overcome the limitations for many of today’s clinical MR systems, the SIGNA™ 7T is a powerful new platform for advancing neurological research and clinical translation. Approximately five times more powerful than most clinical systems, SIGNA™ 7T is designed to detect subtle structures that may be significant for clinicians and researchers alike. Boost advanced applications with GE HealthCare's most powerful whole-body gradient platform to date, delivering exceptional resolution and contrast-to-noise ratio.
Benefits
SIGNA™ 7T MRI scanner - it’s where scientific discovery meets clinical translation
Our SIGNA 7T combines innovative hardware with state-of-the-art software for overcoming common challenges with operating at ultra high fields.

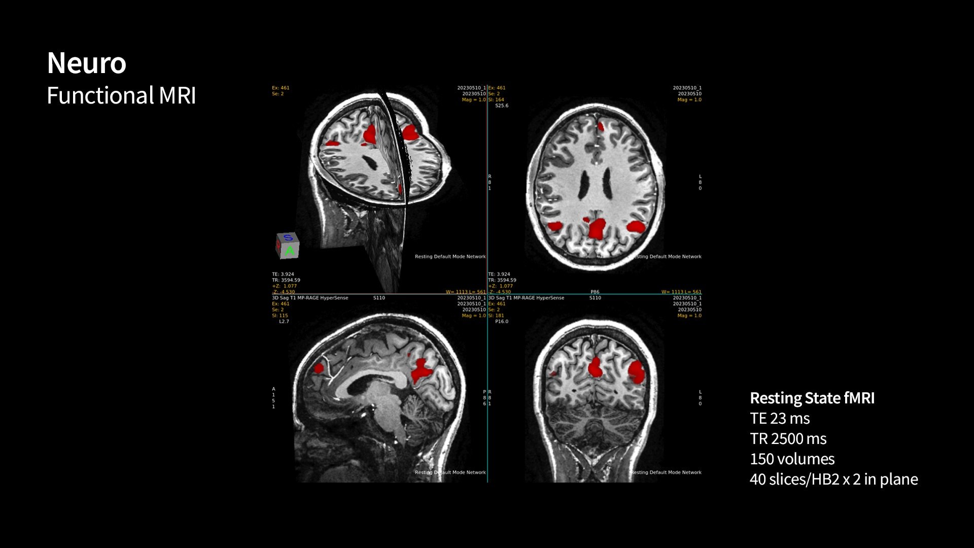
Uncover new contrasts, such as Quantitative Susceptibility Mapping (QSM), for advancing neurological disorder research. Explore novel biomarkers for ischemic stroke characterization and uncover subtle structures with ultra-high resolution imaging with our SIGNA 7T platform.
SIGNA 7T powered by a common suite of SIGNA Imaging Applications
Users have access to our latest state-of-the-art applications along with deep-learning tools like AIR x™ Brain and Knee as well as AIR™ Recon DL, while delivering the diagnostic confidence of an ultra-high-field system.
signa-7t-mri-scanner-feature-hero-1-ci-en
UltraG Gradients to power your research
Our 7T MRI scanner is GE HealthCare’s most powerful whole-body gradient system yet. With peak amplitude of 113 mT/m and a peak slew rate of 260 T/m/s, this scanner can properly leverage the clinical capabilities and research demands that users expect from a 7T.
signa-7t-feature-st-en
SIGNA 7T freedom and familarity
Users can switch between clinical and research modes for easy protocol deployment. Our SIGNA 7T scanner share the same state-of-the-art software platform as GE HealthCare 1.5T and 3T product portfolio, enhancing ease of use and productivity
signa-7t-mri-scanner-feature-hero-3-st-en

 

*SIGNA 7T is a configuration of SIGNA™ 7.0T. SIGNA 7.0T is FDA cleared and CE marked. Not available for sale in all regions.

 

 

JB23313XX June 2025

Learn more about SIGNA 7T MRI scanner

Contact us

We're ready to support you in your moments that matter.

We’re sorry, a problem occurred with the form. Please try again.
Thank you for your inquiry.

We will be in touch soon.

Something went wrong

We will check and get back.