Not all products or features are available in all markets.

  • Change country/language

    Looks like you’re in {} — you’re on the {} site.

    Cancel

    Country and language selected

    You are being redirected to the {} site. Products and services availability vary by country. Do you wish to continue?

    Continue
    Cancel

Detect the undetectable

Discover complicated anomalies and pathologies with the Voluson Expert 22 to provide answers sooner for better decision making.

Early detection

Critical answers sooner

Complex cases come with enough uncertainty. That's why the Voluson Expert 22 is specifically designed for in-depth assessment of complicated anatomy — with pioneering first trimester, fetal cardiac, gynecological, and other pivotal technologies that focus on early detection and intervention.

At a glance

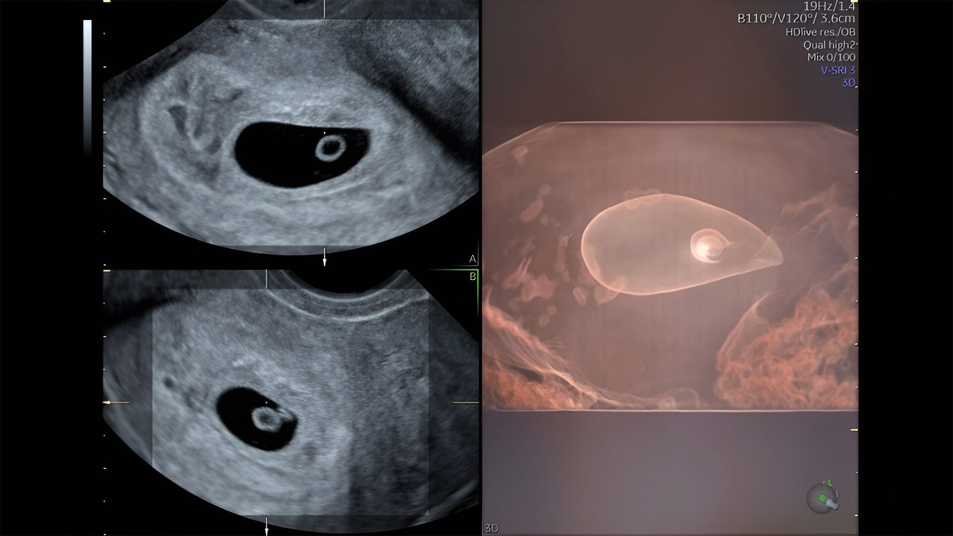
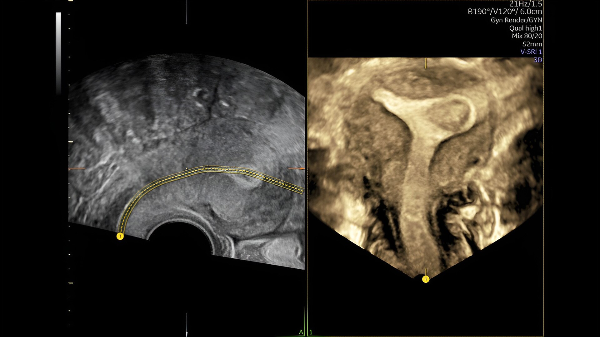
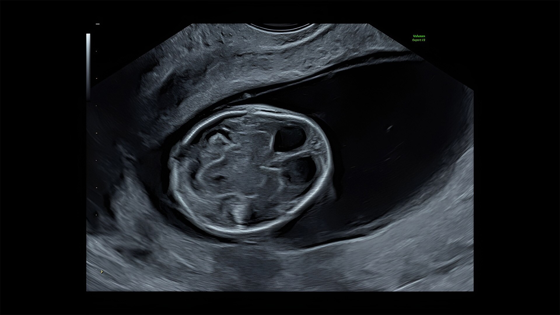
First trimester exams

Perform detailed exams with high-resolution for early insights to fetal health

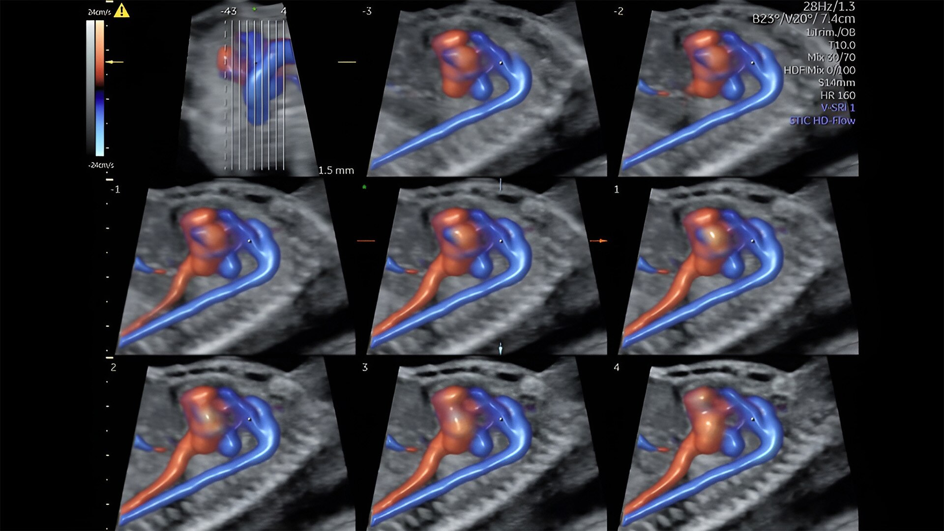
Fetal heart assessment

Detect, diagnose, and monitor with confidence using Radiant and fetalHQ

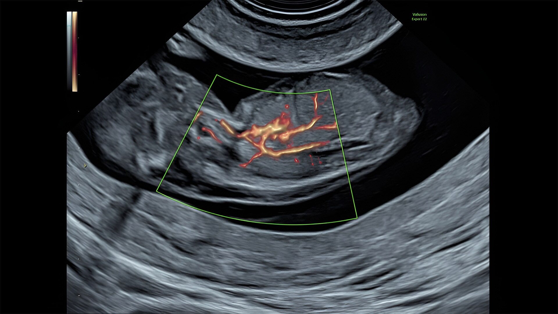
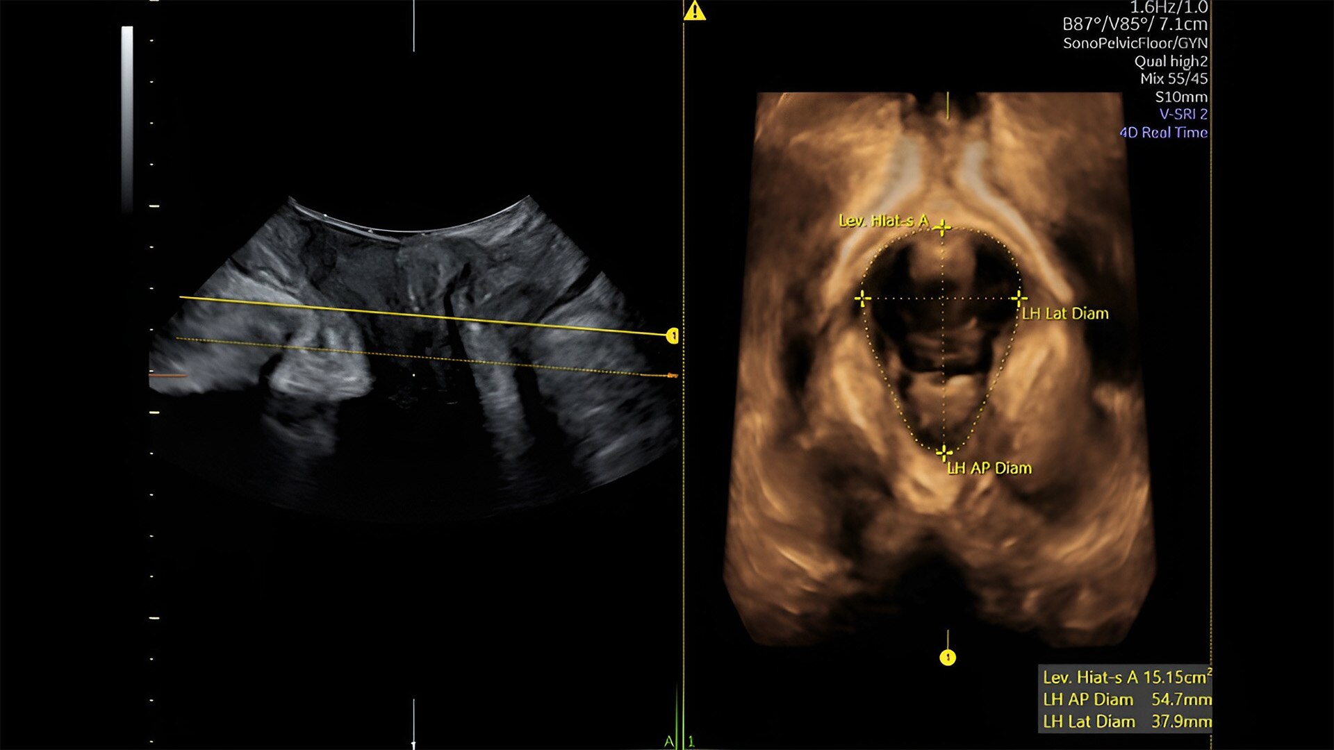
Pelvic health

Offer patient answers faster with Ai-based automation tools

Fetal heart evaluation

Get to the heart of the matter

Identifying fetal cardiac abnormalities earlier means you can intervene sooner, plan for delivery, and potentially improve outcomes. The Voluson Expert 22 provides a full solution of progressive tools, to help distinguish the tiniest structures with stunning clarity to provide patient answers faster.
Connect with us

Your time is precious. That’s why our sales process is efficient and tailored to your needs.

Want a price estimate, quote, or demo? Our sales experts will provide all the information you need for your decision-making process.
Contact us

We're ready to support you in your moments that matter.

We’re sorry, a problem occurred with the form. Please try again.
Thank you for your inquiry.

We will be in touch soon.

Something went wrong

We will check and get back.

Discover More about the Voluson Expert 22

Imaging

Experience next-level imaging capabilities to reveal more.

Early Detection

Uncover critical answers sooner for faster assessment, detection, and diagnosis.

Workflow Efficiency

Remove obstacles to drive productivity.

Support Excellence

Experience more. More services. More support. More partnership.

Contact Us
 
We’re ready to support you in your moments that matter.
For service assistance, call us.

Would you prefer to speak to us on the phone?

Accounts Receivable – 1.800.437.1171  Select options 3, 3

Service Assistance (United States) – 1.800.437.1171 Select option 1

Parts & Accessories (United States) – 1.800.437.1171 Select option 2

Product Assistance – 1.866.281.7545

Service Assistance (Canada) – 1.800.668.0732  Select option 1

 

Show phone numbers
Hide phone numbers
We’re sorry, a problem occurred with the form. Please try again.
Thank you for your inquiry.

We will be in touch soon.

Something went wrong

We will check and get back.

JB20125XX May 2022