Not all products or features are available in all markets.

  • Change country/language

    Looks like you’re in {} — you’re on the {} site.

    Cancel

    Country and language selected

    You are being redirected to the {} site. Products and services availability vary by country. Do you wish to continue?

    Continue
    Cancel

Voluson Expert 22 Imaging Capabilities

Experience next-level imaging capabilities that will help you see critical details required for confident diagnosis.

Spectacular imaging 

Find the Needle in the Haystack

How do you make our best ultrasound even better? Build a more powerful engine with the most progressive and adaptive capabilities yet. Our Lyric Architecture allows for more data — leading to higher spatial and contrast resolution and color sensitivity. It works in harmony with our specialized probe technology to extract more information at record speeds for faster, sharper, and clearer images.

At a glance

Lyric Architecture

Unlock new imaging and processing power to unparalleled IQ

More Penetration & Details

Elevate 2D imaging even in difficult scanning conditions with UltraHD, Augment, and Radiant

Enhanced Volume Imaging

Deliver next generation 3D/4D & Color images with HDlive Studio+

Unique Probe Technology

Obtain high resolution images with advanced probe technology - eM6C, RIC6-12, and RM7C

Adaptive IQ capabilities

Ultrasound for today and tomorrow

Future proof your practice with the freedom to continuously unlock new imaging and processing power to achieve high resolution, detailed images - even in difficult scanning conditions. Generations ahead, the adaptive nature of Lyric Architecture allows for new imaging standards for years to come.
2D Imaging 

The Ultimate Foundation

    

UltraHD

Super Fine Details

Obtain highly detailed images of the fetal brain, first trimester development, and other complex anatomy with increased axial and lateral resolution.

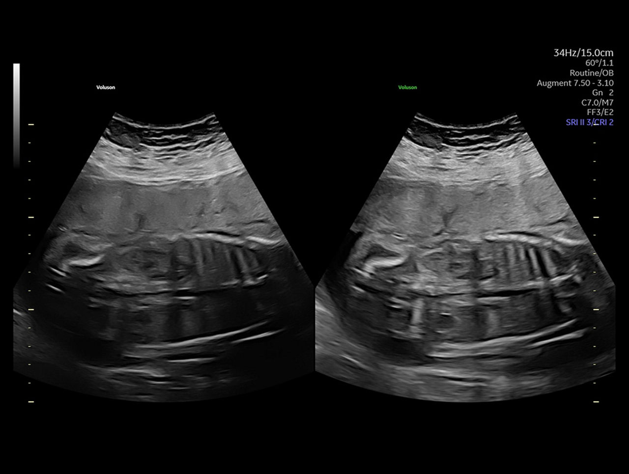
Augment

Solve Challenging Scans

Utilize our Augment feature to reduce noise and increase penetration for a robust, cleaner image even in difficult to scan situations like high BMI.

imaging-capabilities-augument-feature-ci-en

Radiant

Reach New Heights in 2D

Change the levels of elevation and enhance border visibility with Radiant. The result is a more 3D-like appearance, which aids in crucial border differentiation in anatomy such as brain and fetal heart

imaging-capabilities-on-augment-feature-v2-ci-en
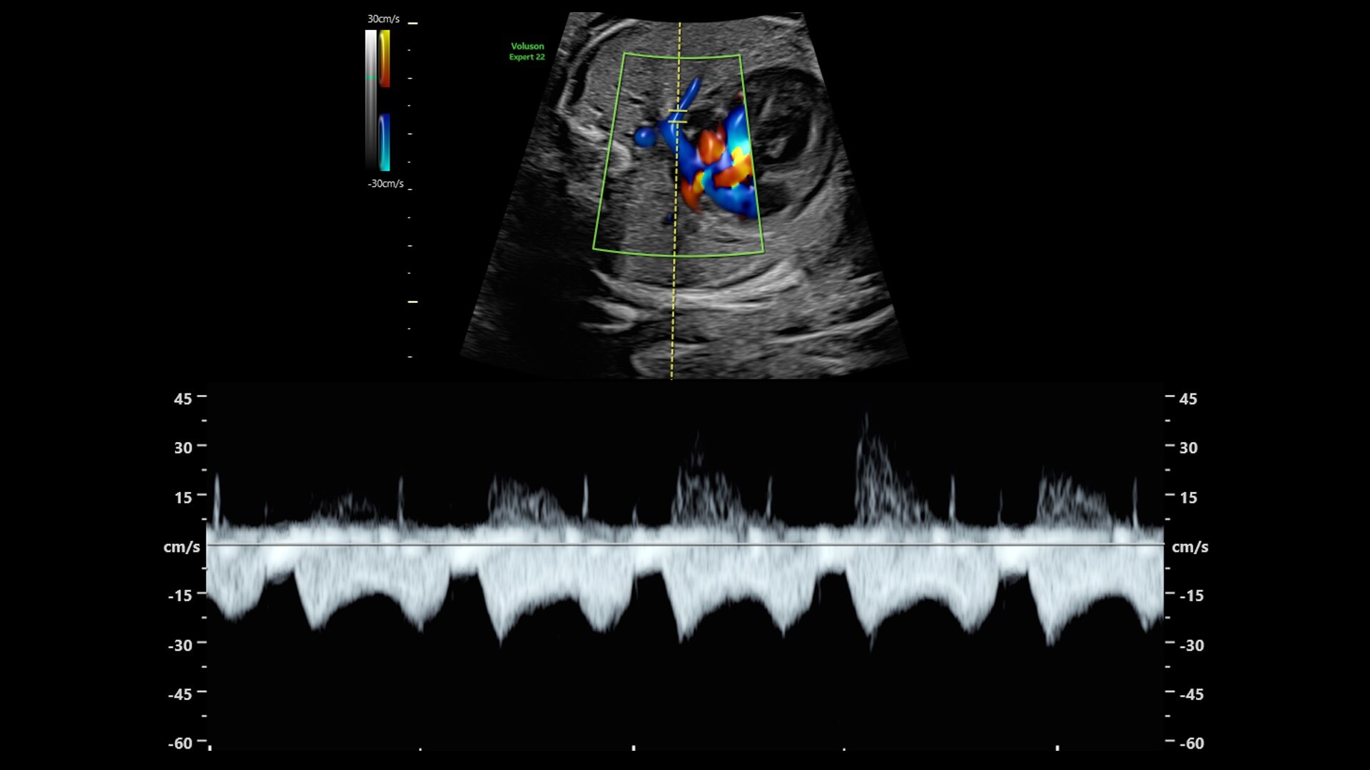
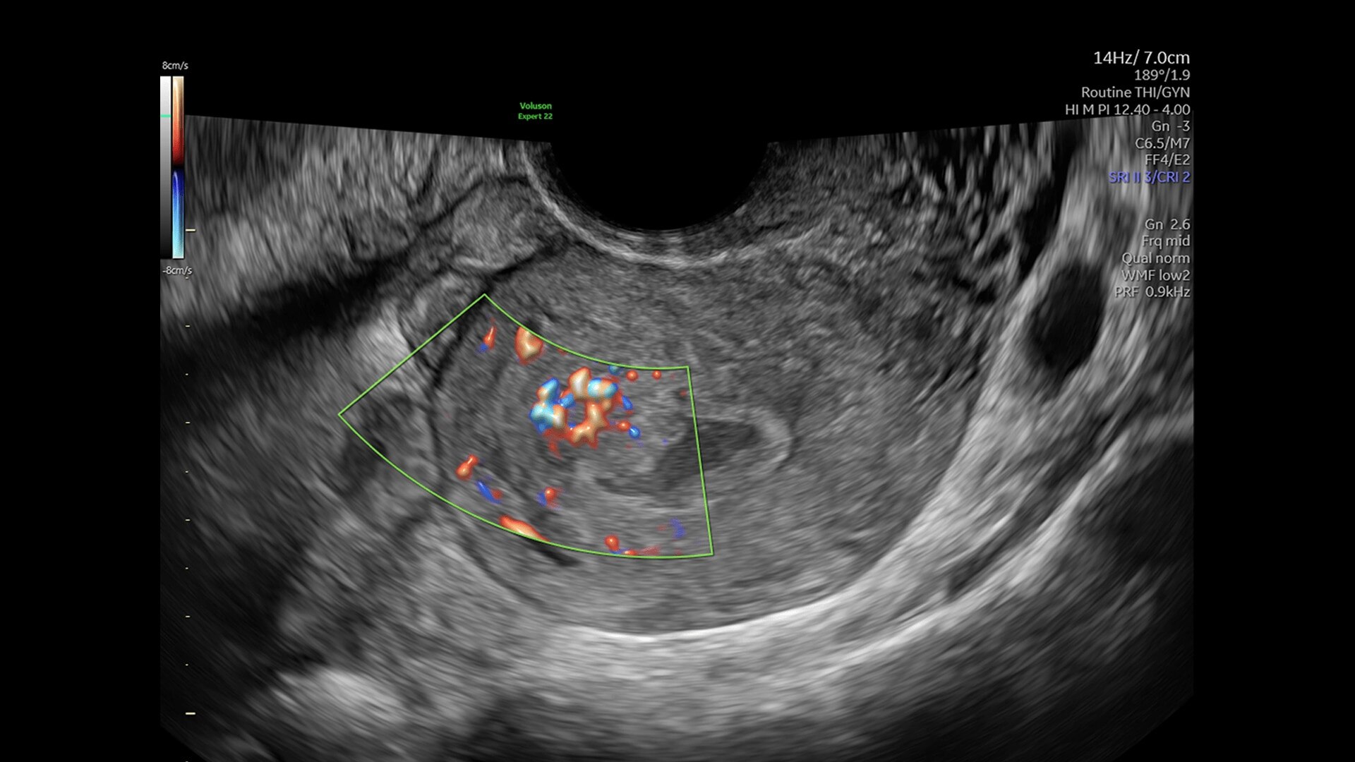
Doppler imaging

Beyond Basic Blood Flow

Voluson is pushing imaging boundaries to make blood flow assessment faster and easier. Our advanced technologies, including Graphicflow, Radiantflow, Slowflow, and Radiant imaging, increase resolution and sensitivity in color and pulsed wave Doppler for unprecedented clarity

Graphicflow

Hemodynamic Visualization

Provides a graphical representation of the trajectories of the blood cells in real-time to visualize complex blood flow quickly and clearly, helping you to differentiate normal from abnormal hemodynamics

Connect with us 

Your time is precious. That’s why our sales process is efficient and tailored to your needs.

Want a price estimate, quote, or demo? Our sales experts will provide all the information you need for your decision-making process
Contact us

We're ready to support you in your moments that matter.

We’re sorry, a problem occurred with the form. Please try again.
Thank you for your inquiry.

We will be in touch soon.

Something went wrong

We will check and get back.

Discover More about the Voluson Expert 22

Imaging

Experience next-level imaging capabilities to reveal more.

Early Detection

Uncover critical answers sooner for faster assessment, detection, and diagnosis.

Workflow Efficiency

Remove obstacles to drive productivity.

Support Excellence

Experience more. More services. More support. More partnership.

JB20126XX May 2022