Assista e confira o quão simples sua RM pode ser


Você está preparado para RM

Ecológica em todos os aspectos
- Menor pegada ecológica
- Necessita de 25% menos energia
- Reduz em 70% o consumo de hélio

O que é a curva de aprendizagem?
- Uma experiência de usuário intuitiva, próxima da realidade do dia-a-dia
- Operadores podem aprender a usar uma RM em questões de horas
- Suporte remoto


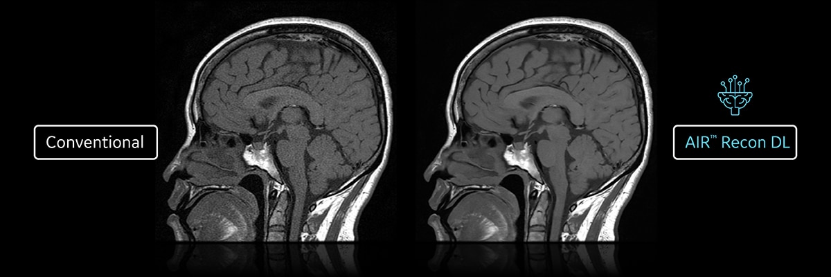
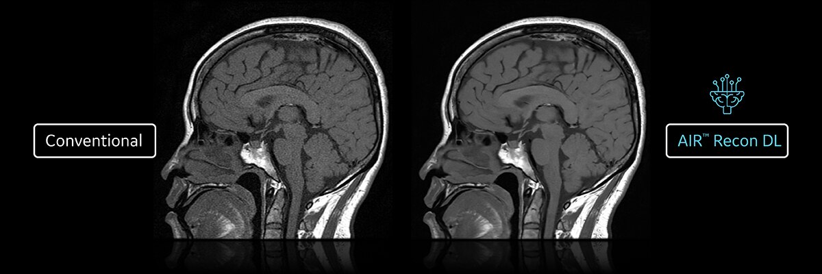
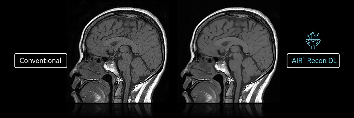
Inteligência Artificial chegou para ajudar

Neuro – 6:06 min com AIR™ Recon DL
Lombar – 5:46 min com AIR™ Recon DL
Joelho – 4:49 min com AIR™ Recon DL

Vamos garantir que sua primeira experiência com RM seja inesquecível
Os produtos/ tecnologias podem estar com nome fantasia distinto do aprovado, sua comercialização ocorrerá sob o nome registrado.