FAMÍLIA VENUE

Ultrassom point of care para anestesia regional

Oferecendo aos anestesistas um sistema de ultrassom multifunção sem esforço, a família Venue™ ajuda com confiança a reduzir o risco de complicações durante procedimentos de bloqueio de nervos. Imagens vibrantes e um conjunto poderoso de ferramentas permitem que você veja nervos e anatomia adjacente rapidamente e com clareza para otimizar a distribuição local do anestésico.

Novas Fronteiras no Ultrassom Point of Care: Levando IA a Bloqueios de Nervos

Siga o Dr. Bernard Victor Delvaux, Anestesista, para o mundo de inteligência artificial para POCUS conforme sua colaboração com Doron Shaked, Cientista de Dados, ganha vida prestando suporte para a confiança clínica para bloqueios de nervos.

BENEFÍCIOS

Imagiologia poderosa projetada para as suas necessidades

Visuais vibrantes

A visualização de agulha clara permite procedimentos eficazes

Fácil de limpar

Superfícies lisas e sem emendas suporta o controle de infecção

Ampla variedade de transdutores

Monitore com precisão bloqueios de nervos nas profundidades mais profundas e mais superficiais

Experiência do usuário intuitiva

A interface do usuário acionada por gestos apresenta um modelo moderno e adaptável
CARACTERÍSTICAS

Feito para o seu point of care

Com imagens vibrantes e ferramentas automatizadas, o Venue simplifica procedimentos complicados—melhorando a eficácia de bloqueios de nervos e aprimorando o conforto e a segurança do paciente.
SIMPLES DE UTILIZAR

Simplificado para avaliar rapidamente o estado do paciente

Blocos precisos construídos em uma plataforma, a família Venue inteira simplificou as etapas necessárias para operação e apresenta acessibilidade melhorada. Seus transdutores de botão permitem que você realize procedimentos que antes exigiam duas pessoas com somente uma única pessoa. Além disso, você pode posicionar o monitor para visualização ideal por meio de seu braço articulado—entregando imagens claras e excelentes mesmo quando o sistema estiver do outro lado de um leito.
PRECISO

Imagiologia precisa para confiança clínica aprimorada

Ajudando a melhorar resultados de paciente reduzindo taxas de erros, o software de imagiologia do Venue é otimizado para ajudar o nervo a se sobressair de outros tipos de tecido. Permitindo que você diferencie entre a agulha e a anatomia do paciente com confiança, a família de sistemas Venue guia você com uma visão em tempo real da anatomia, avanço da agulha e dispersão local da anestesia.
RÁPIDO

Predefinições para eficiência operacional melhorada

Com predefinições específicas para nervos que ajustam rapidamente os parâmetros de imagem, os sistemas da família Venue armazenam os ajustes apropriados para uso por anatomia e tipo de sonda para que você possa escanear mais rápido. Cumprindo um papel importante em garantir a qualidade de imagem e a eficiência clínica, as predefinições têm o objetivo de reduzir muito o número de controles que você precisa ajustar para otimizar as imagens.

Esteja preparado para procedimentos de bloqueio de nervos

Com seu modelo simples, a família Venue de sistemas de ultrassom point of care empodera você a tomar decisões clínicas mais rápido e com confiança.

Acompanhe procedimentos de bloqueio de nervos com cNerve

Ajuda a detectar e acompanhar nervos em 99% dos casos durante escaneamento em tempo real ou ao revisar um clipe armazenado² enquanto também exibe um mapa de distribuição das áreas do corpo impactadas pelo procedimento de bloqueio de nervo selecionado.

Visualize mais anatomia um único escaneamento com o Virtual Convex

Esta ferramenta proporciona um campo de visão amplo para que os usuários possam visualizar estruturas de anatomia maiores em um único escaneamento, enquanto também tem o objetivo de aprimorar a qualidade da imagem em sondas lineares.

Remova a bagunça com a Tela Simples

Veja somente o que você precisa ver com o modo Tela Simples, uma função que permite que você veja uma imagem de ultrassom até 39%³ maior e veja somente os ícones que quiser.

Recupere automaticamente os ajustes de parâmetros com Follow Up

Entregando conclusões claras e consistentes para exames repetidos no mesmo paciente, o Follow Up recupera automaticamente os ajustes de parâmetros de um exame anterior, incluindo comentários e padrões corporais. Ele também dá suporte ao monitoramento da resposta ao tratamento do paciente ao longo do tempo, permitindo uma visão lado a lado de imagens históricas e novas.

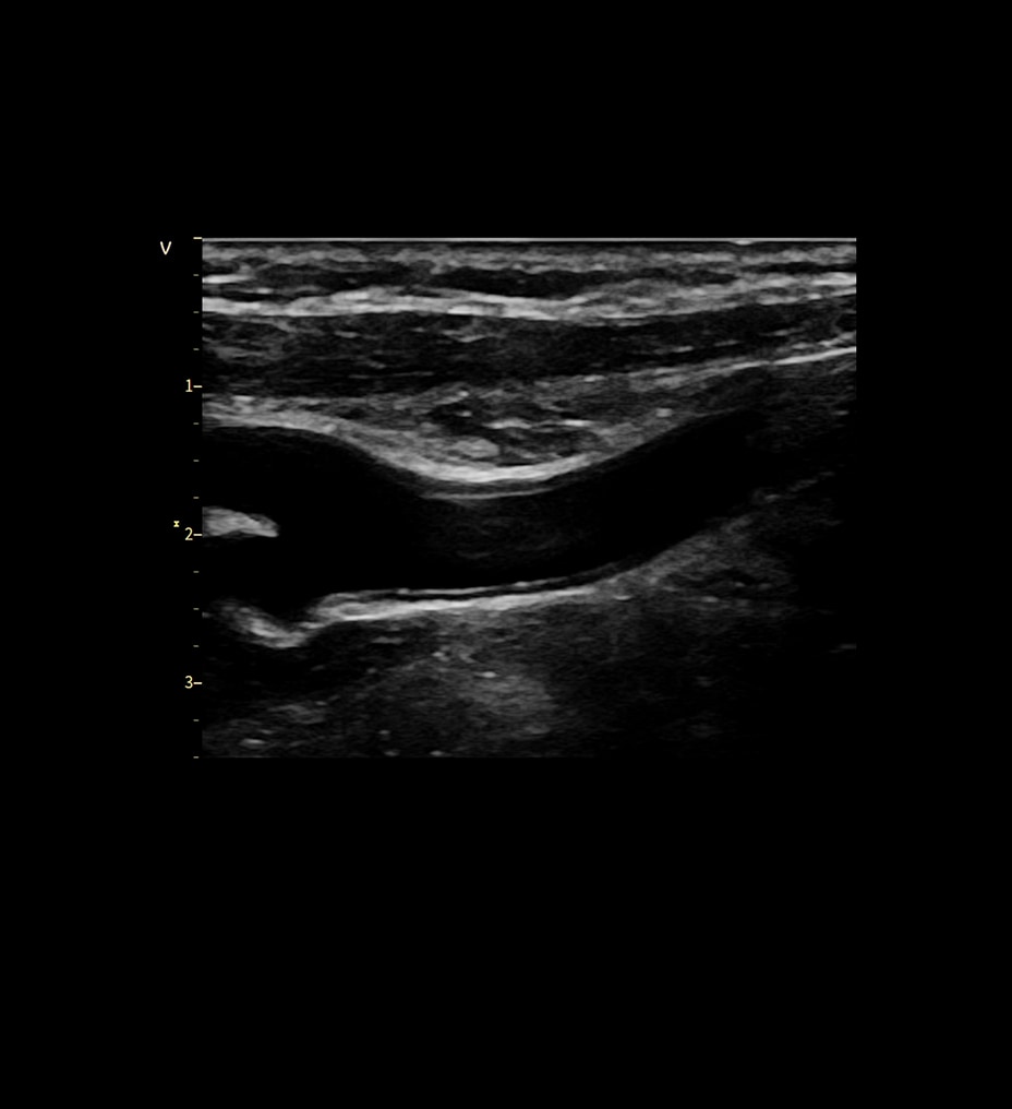
Visualização melhorada com Reconhecimento de Agulha (Needle)

O Reconhecimento de Agulha também permite que você diferencie facilmente entre a agulha e a anatomia do paciente com confiança—permitindo que você guie rapidamente a agulha com exatidão para onde ela precisa estar, ajudando a minimizar o desconforto do paciente.

Brochura de anestesia regional Venue

Baixe e leia esta brochura para um conhecimento mais profundo de como o Venue entrega confiança no point of care, quando mais importa.

Venue probes

Uma ampla gama de transdutores ajuda você a administrar com precisão bloqueios de nervos nas profundidades mais profundas e mais superficiais.

Galeria de tutoriais de produto

Veja em primeira mão como o Venue dá suporte a anestesistas.

REFERÊNCIAS
  1. 1. Chui, J., et al. “Identifying Barriers to the Use of Ultrasound in the Perioperative Period: A Survey of Southwestern Ontario Anesthesiologists.” BMC Health Services Research, BioMed Central, 4 Abr. 2019, bmchealthservres.biomedcentral.com/articles/10.1186/s12913-019-4040-2.
  2. 2. Reivindicações com base em dados coletados em um estudo de leitura de cNerve e com base em estudos realizados Identificando estruturas anatômicas em ultrassom: inteligência artificial auxiliar em anestesia regional guiada por ultrassom—27 de novembro de 2020 Sinopse. Documentação de suporte do estudo:
    • cNerve Study May 2022.docx
    • cNerve study Results.xlsx
  3. 3. Evidências de suporte para Venue (a 39% maior) e Venue Go (a 18% maior) são documentadas em DOC2391130. Evidências de suporte para Venue Fit (a 18% maior) são documentadas em DOC2454794.

Alguma dúvida? Adoraríamos ouvir de você.

JB01466BR

MENÇÕES LEGAIS

Os produtos e tecnologias mencionados neste material estão sujeitos à regulamentação do governo e podem não estar disponíveis em todas as localidades. Seu embarque e efetiva comercialização só poderão ocorrer após a aprovação do regulador.

Os produtos e tecnologias podem estar com nome fantasia distinto do aprovado, sendo que sua comercialização ocorrerá sob o nome registrado. A GE HealthCare reserva-se o direito de fazer alterações nas especificações e recursos mostrados neste documento ou de descontinuar o produto descrito a qualquer momento, sem aviso ou obrigação.

Entre em contato com seu representante GE HealthCare para obter as informações mais atualizadas. Nada neste material deve ser utilizado para diagnosticar ou tratar uma doença ou condição de saúde. Consulte um profissional de saúde.